|
|
|
The Virtopsy Approach: 3D Optical and Radiological Scanning and Reconstruction in Forensic Medicine, 1st Edition, edited by Michael J. Thali, Richard Dirnhofer, Peter Vock, Hard bound, 11.1" x 8.7" x 1.1".
CRC Press LLC, 2000 Corporate Blvd., N.W., Boca Raton, Florida 33431, Phone - 1(800)272-7737, Fax - 1(800)374-3401. Publication Date May 14, 2009. 536 pages, ISBN-10: 0849381789; ISBN-13: 978-0849381782 (alk. paper). Price: $199.95
Visit the Official site of this book by clicking here
Buy from Amazon by clicking here.
![]() |
The book under review is an excellent compendium of information about one of the latest techniques of autopsy - the virtual autopsy or virtopsy as it is more commonly known. These procedures include such latest state-of-the-art techniques as CT scanning, Multislice computed tomography (MSCT), photogrammetry and MRI. These and several other techniques explained in this book (which is also a color atlas) provide methods for performing autopsies that are more efficient and minimally invasive. Since these techniques do not involve any incisions, they have been likened and equated to minimaly invasive surgery or "keyhole surgery" in the living.
Some doubts may be raised about the relevance of such high tech procedures in postmortem. However the fact is that there are many situations in which routine autopsies are very difficult - if not impossible - to perform. For instance, in charred, badly decomposed, or mummified corpses, it may be very difficult to conduct autopsy by routine methods. Certain injuries, such as intracutaneous contusions are better appeciated by non-invasive techiques. And anyone who has tried figuring out if the hyoid was fractured in a particular case of neck trauma, would love to use these techniques to determine fractures of the hyoid. As the pictures in the excerpts below show, detecting hyoid fractures becomes so much more easy with these techniques.
Additionally restrictions imposed by some more conservative branches of religions often make autopsies impossible to perform. Furthermore, backlogs at the coroner's office can create situations where the personnel required to do the autopsies cannot keep up with the cases. These procedures utilize state-of-the-art imaging technologies which uncover information that would be otherwise unattainable. Approximately 600 photographs provide visual instruction that takes the reader from external body documentation to internal investigation.
![]() |
The main editor of this book is Michael Thali, M.D, an Executive MBA HSG, is the director of the Forensic Institute and the Center for Forensic Imaging at the University of Bern. He has worked since 1995 in the field of forensic medicine, and has had a two-year fellowship in clinical radiology. He has written many virtual autopsy papers. Readers may want to visit his site by clicking here.
![]() |
The other editors are Richard Dirnhofer, and Peter Vock. Dirnhofer's main foci in forensic research are forensic pathology, forensic DNA analyses, and in more recent years the field of virtopsy. In 2003 he founded the Virtopsy Foundation and, together with Professor Thali and Professor Vock, founded the Technical Working Group Forensic Imaging Methods (TWGFIM).
Peter Vock, M.D. is Professor of Radiology and Chairman, Institute of Diagnostic, Interventional and Paediatric Radiology, Inselspital, University of Bern, Switzerland. He has worked since 1974 in radiology, with fellowships in nuclear medicine and radiotherapy. He co-invented the spiral computer technology along with Willi Kalender. He is the one who made his Radiology Institute available to the Virtopsy project and has intensively supported the idea from its inception.
Something about the book. The book is divided into 4 sections and 23 chapters (Section A, B and C - 5 chapters each and Section D-8 chapters). The detailed list of contents is as follows:
Chapter |
Title |
Page |
| Part A: Introduction | ||
| A1 | From Autopsy to Virtopsy: Oral Description versus Image: Value of Evidence | 3 |
| A2 | History of Virtopsy: How It All Began | 11 |
| A3 | Virtopsy® after More Than Some 100 Cases: Statement and Perspectives of Forensic Imaging by Using 3D Optical and Combined CT/MRI Whole-Body Scanning |
19 |
| A4 | Legal Side | 27 |
| A5 | Religion | 41 |
| Part B: Imaging and Visualization Methods/Explanation of Techniques | ||
| B1 | External Body Documentation | 51 |
| B2 | Internal Body Documentation | 61 |
| B3 | 3D Visualization of Radiological Data | 115 |
| B4 | Storage of Radiological Data (PACS) | 131 |
| B5 | The Virtopsy Database: Comparing Radiology and Autopsy Findings Using a Database | 135 |
| Part C: Forensic Application of Imaging Techniques | ||
| C1 | Intravital versus Postmortem Imaging | 145 |
| C2 | A Historical Overview of the Literature | 147 |
| C3 | External Body Documentation | 151 |
| C4 | Internal Body Documentation | 157 |
| C5 | Documentation of Extracorporeal Findings | 159 |
| Part D: Forensic Topics | ||
| D1 | Radiologic Identification | 169 |
| D2 | Thanatology | 187 |
| D3 | Incident-Specific Cases | 219 |
| D4 | Virtopsy as a Multi-Tool Approach | 389 |
| D5 | Biopsy | 437 |
| D6 | Postmortem Angiography | 443 |
| D7 | Experiences with Virtual Autopsy Approach Worldwide | 475 |
| D8 | Miscellaneous | 479 |
Excerpts from the book:
This book is a significant addition to the literature on forensic sciences. So that our readers can get some idea about the importance of the book, the editors at the journal office decided to run some excerpts from this book. Chapter D3 (Incident-Specific Cases) is the largest, and perhaps the most instructive, chapter of this book, and the board of editors decided to run some excerpts from this chapter. Here are some excerpts from section D3.2 (Postmortem Imaging Of Blunt Trauma; pages 254-272)
Injuries due to blunt trauma are a common finding in everyday forensic practice. The field of blunt trauma encompasses a huge variety of injuries, reaching from barely visible, superficial excoriations to the destruction of a corpse due to an impact of tremendous energy, such as in airplane accidents or persons run over by a train. Indeed, blunt trauma can be regarded as a cornerstone in forensic pathology.
Often, internal injuries that are not evident during external inspection, no matter how thoroughly the examination was performed, may give rise to a certain moment of surprise at autopsy. The extent of externally visible damage does not always correlate to the extent of internal injuries. The realization of this disparity regarding external and internal findings made autopsies necessary and therefore led to the profession of the forensic pathologist.
Although certain specially trained physicians, the forefathers of modern forensic pathologists, were performing autopsies for judicial systems several centuries ago - in 1532 A.D. under the Constitutio Criminalis Carolina of emperor Charles V of Germany-the introduction of medical x-ray examinations only took place at the beginning of the 20th century [1]. In the first radiographs performed for clinical reasons, a central question was whether suspected fractures could be verified and, if so, which type the confirmed fractures were. As forensic pathology addresses similar questions, the implementation of radiology in forensic pathology was a logical step in the assessment of blunt trauma. Today, hardly any institute for forensic pathology can exist without at least an x-ray machine for the assessment of fractures and foreign bodies. With modern machines and improved techniques and experience, not only osseous injuries but also lacerations of internal organs can be visualized.
In the forensic assessment of victims of blunt trauma, the following points besides the possibility of the involvement of a third party are of utmost importance:
As mentioned already, the field of blunt trauma is vast. Therefore, only a sample of the possibilities of postmortem imaging of such findings can be discussed and shown in this chapter. Postmortem imaging of vital reactions, which indicate that a person was alive upon infliction of the injuries, is discussed in Chapter D2.3, "Vital Reactions and Vital Signs," and cerebrocranial trauma is discussed in Chapter D3.3.
Due to its most external location and extent, the skin is the organ that generally shows most signs of blunt trauma. These lesions range from superficial excoriations, intracutaneous hemorrhages, and subcutaneous hematomas to crush wounds and avulsions. These soft-tissue injuries are often easily detected at external inspection of the corpse. Depending on the wound morphology, a differentiation between blunt and sharp trauma can generally be made easily. Sometimes, an instrument or a weapon gives rise to distinct excoriations or intracutaneous hemorrhages by which the inflicting instrument can be identified. Such so-called patterned injuries are discussed in Chapter B1, "External Body Documentation."
As the external examination of these often extremely important superficial injuries is the method of choice and imaging does not give additional information to a thoroughly performed external inspection, this chapter does not deal with these lesions.
By contrast to what was said previously about superficial lesions of the skin, subcutaneous hematomas deserve further mentioning. These are not always evident at external inspection. Every physician has encountered patients or victims in which immediately after injury infliction no hematomas are seen. When patients or victims present themselves for a follow-up examination one or two days later, they then often display clear and sometimes even striking hematomas (Figure D3.2.1). This is due to the fact that hematomas need a certain amount of time to "bloom." The speed of this hematoma blooming depends on a multitude of factors. Coagulopathy, skin thickness, and location on the body are just a few of these influencing factors. Several methods have been applied to visualize hematomas more adequately: At autopsy, suspected skin regions are incised. Obviously, this method is not applicable to living patients. Other methods are diaphanoscopy and spectrophotometry [2,3]. Having said this, it is obvious that corpses may not display external hematomas even after a severe blunt trauma (Figure D3.2.2 and Figure D3.2.3). This is especially true in cases of a rapid death.
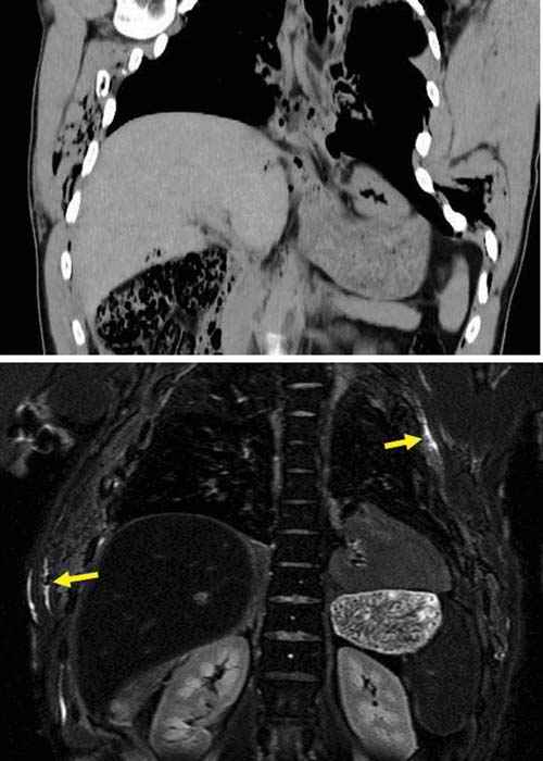
In previous studies [4], magnetic resonance imaging (MRI) proved to be a sufficiently sensitive method to detect softissue injuries. As subcutaneous hematomas and trauma of the fatty tissue are forensically relevant as to energy and impactpoint reconstruction, Yen et al. [5] evaluated such traumatic effects and graded them into four categories, namely, I-IV. All these stages or categories were clearly seen in MRI. The mildest stage is I, in which only a perilobular hemorrhage is seen. Stage II implies a contusion of the fat and stage III a disintegration of the fat lobules. The most severe form of fatty-tissue injury is stage IV. In this stage, which is the result of an enormous local force against a body part, not only are fat lobules disintegrated, but also a subcutaneous cavity is encountered. Usually, the entire body has to be skinned at autopsy to assess the existence and the extent of such typical signs of blunt trauma. As Yen et al. have shown, postmortem MRI is a viable tool for such an assessment (Figure (Figure D3.2.4 and Figure (Figure D3.2.5). This technique is especially valuable in examining surviving victims of blunt trauma, where a pathological analysis is not possible.
The next deeper structure of the body, namely the musculature, may also be injured in blunt injuries. Their injury implies that a greater energy was involved than necessary to merely crush the fat lobules of the subcutaneous fatty tissue. Hemorrhages into the muscles are hard to detect but are readily visible in MRI (Figure Figure D3.2.6). Furthermore, a crushing of the muscle, an indicator that a considerable local force was applied, can also be visualized in MRI.
Blunt injuries to the head can be differentiated into two groups: (1) impact injuries and (2) injuries due to a rapid change in velocity (acceleration and deceleration). Of the first group, soft-tissue injuries of the scalp and facial musculature (lacerations, abrasions, and contusions), skull fractures, cerebral contusions/lacerations, intracerebral hemorrhages, and epidural hemorrhages are notable. The second group, namely the change in velocity, which is, for instance, encountered in shaken baby syndrome and vehicle accidents, typically presents with subdural hematomas and diffuse axonal injuries. The latter is discussed in Chapter D3.3.4 on craniocerebral trauma. Although the topic of cerebral trauma is discussed in detail in Chapter D3.3, the importance of skeletal lesions to the head in blunt trauma deserves brief mentioning.
Facial fractures are a common finding in clinical forensic medicine and in forensic pathology. They usually arise due to direct trauma as in vehicle accidents, falls onto the face (often seen in intoxicated persons), or, more frequently, in fights and scuffles.
Of these, the fracture of the nasal skeleton is the most frequently encountered. Although generally a self-limiting lesion with little or no danger to the individuals' life or general health, nasal fractures can lead to the suspicion of an involvement of a third party in otherwise inconspicuous conditions. If an otherwise unharmed body of a young man is found in a locked flat with signs of a nasal fracture, then further investigations must be undertaken, even if the presence of a perpetrator at the time of death can be excluded. As the nasal fracture is a possible sign of a prior fight, an autopsy must be performed to examine the possibility of further, externally unseen lesions. However, a nasal fracture may be missed at external inspection. As a dissection of the face leads to disfigurement, the pathologist often refrains from this procedure. Therefore, the nasal fracture may even be missed after an otherwise complete autopsy has been performed. Postmortem multislice computed tomography (MSCT) easily detects such possibly telltale fractures (Figure D3.2.7).
Other frequently seen fractures of the facial bones concern the eye sockets and can arise due to direct blunt trauma due to punches or impact from a flying object such as a ball. These blow-out fractures are typically located at the medial and basal wall, where the bone is extremely thin [6,7]. However, eye socket fractures can also arise due to indirect trauma, such as in cases of falls with an impact to the back of the head as a contrecoup lesion [8]. Whereas these indirect fractures, typically located at the roof of the eye socket, are formed by a negative pressure in the fossa anterior, the opposite may also give rise to fractures of the orbita ceiling [9]. Such a rapid positive pressure can be achieved by gunshots to the skull.
As is well known from clinical medicine, mid-face fractures can also extend over the maxilla and the zygomatic bone (Figure D3.2.8). These fractures arise from a direct impact to the face. Depending on the involved structures, these fractures are classified as Le Fort I-III. This classification can be difficult, especially in cases of vehicle accidents, where, due to the massive damage, multiple fractures are often seen. In such cases, the Le Fort classes overlap (Figure D3.2.9). Mandibular fractures occur due to punches, falls, and vehicle accidents, to name just a few mechanisms. Direct fractures are seen paramedially, whereas indirect fractures are mostly located in the region of the joint and the mandibular body.
Postmortem imaging can display such possibly telltale injuries in a rapid and nondestructive manner, thus sparing the face from further disfigurement or the pathologist from missing a potentially important finding.
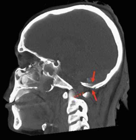
Whereas in cases of sharp trauma the type of inflicting instrument may be discerned in most cases, this is not true for all contusions and lacerations of the scalp. For instance, it is obviously of utmost importance to distinguish between scalp contusions, due either to a fall or to a blow with an instrument. The fracture pattern of the skull and typical cerebral lesions can solve this problem with a large degree of certainty. If the head strikes a broad, flat surface, such as the ground, the skull is flattened at the point of impact. Due to this resulting inward bending, distant areas of the skull are bent outward. Fractures do not begin at the point of impact but at the point of outbending at the external surface [10,11]. For instance, a fall with a low-energy impact to the occipital skull will therefore classically lead to linear fractures (Figure D3.2.10). If the impact of the large, flat surface is great enough, complete or incomplete circular fractures may arise around the impact point at the edge of inward and outward bending. With an even greater amount of energy, the severe inbending at the point of impact leads to stellate fractures arising from the impact center. A combination of circular and stellate fracture lines creates a distinct spider web-like fracture system. Later fracture lines will not cross preexisting fracture lines, as the necessary tension is lacking in previously fractured areas. This phenomenon, also known as the "Puppe-rule" can help assess the timing of skull injuries when more than one impact point is seen.
If the impact occurs with high energy and a small surface area, i.e., in blows with hammers, the result is a small, depressed skull fracture (Figure D3.2.11 and Figure D3.2.12). Here, the brain is generally only affected in the immediate vicinity of the impact. A blow to the head (i.e., the occiput) will therefore mainly result in a cerebral injury to the occipital brain regions. Several blows to the head can obscure the small, depressed fracture due to the severe destruction of the concerned skull region. By contrast, a fall from great height or from an upright position onto the ground will lead to a completely different fracture pattern and cerebral injury (Figure D3.2.13). Here, linear or, if the energy involved is great enough, circular fractures are commonly encountered. Simple linear fractures are, however, also seen in (lowenergy) blows to the head. In these cases, the plain radiograph of the skull does not suffice to distinguish between a blow and a fall. Here, postmortem MSCT imaging can deliver quick and reliable results. By enabling the visualization of the brain, coup-contrecoup lesions can be detected. This constellation of impact-near and impact-far injuries is often seen in falls. They are an absolute rarity in cases of homicidal blows to the head. Thus, by visualization of the brain, the pathologist may be able to discern between a blow and a fall even if the external wound morphology may be obliterated or hidden (e.g., due to secondary animal involvement such as ants). The cerebral injuries inflicted by blows and falls are discussed in detail in Chapter D3.3.
Indirect blunt traumas of the head encompass changes of velocity. The head is relatively heavy. The resulting inertia can lead to various lesions, typically of the skull base. These fractures of the skull base can be of great reconstructive value. If the fractured area is dislocated into the fossa posterior, the lesion must have occurred due to a deceleration of the head toward the spine in a stamp-like manner [12]. Such a constellation is seen in cases from falls from great heights such as suicidal falls onto the feet or in parachute accidents. The opposite is true for a rapid acceleration of the head from the spine. As the skull base is firmly attached to the spine by a multitude of ligaments, traction will result in a tearing of the skull base from the remaining cranium [13]. This rather rare finding is seen in cases such as motorcycle accidents.
The relative weight of the head, together with the additional weight of the helmet, can tear the head from the neck in the case of a frontal collision. Torsion of the calvaria from the skull base (Figure D3.2.14 and Figure D3.2.15) has also been described as a mechanism for skull base ring fractures [14]. Another form of indirect blunt trauma of the head is seen in cases of shaken baby syndrome. This very controversial topic is discussed in Chapter D3.3.
The neck is rightly deemed as being a particularly vulnerable region of the body. It is to be assumed that this is known to practically every perpetrator, regardless of his or her medical or anatomical knowledge. The vulnerability is due to the neck harboring several rather exposed, cerebrally vital blood vessels, the airways, and reflex centers. An excitation of the latter may lead to death from hypotension and cardiac arrest [15].
Blunt trauma to the neck consists of various, completely different mechanisms. High-velocity, direct impacts to the neck are seen in vehicle accidents and falls from great height. Here, the cervical lesions range from "mere" softtissue injuries to osseous lesions to complete decapitations. Of soft-tissue injuries, besides the easily externally detectable excoriations and sugillations, hemorrhages of the subcutaneous tissue and the cervical muscles are notable. The latter are extremely important in the forensic assessment of violent death due to blunt trauma. They are, however, not always visible at external examination, especially if the time between incident and death is very short.
Indeed, an extremely important topic in the field of blunt trauma to the neck is choking, throttling, and hanging. Although abrasions and ligature marks are generally seen when an instrument such as a cord or rope is used (Figure D3.2.16 and Figure D3.2.17), such as in hanging and throttling, external signs of the neck may lack completely in cases of choking. In these cases, petechial hemorrhages in the face and mucosal linings of the head may give a first and vital clue as to the cause of death, thus (hopefully) leading to a more thorough investigation. In cases of suicidal hanging, such petechial hemorrhages can be absent. Here, the position of the knot (i.e., behind the neck) and especially the course of the noose arms should be noted [16].
![]() |
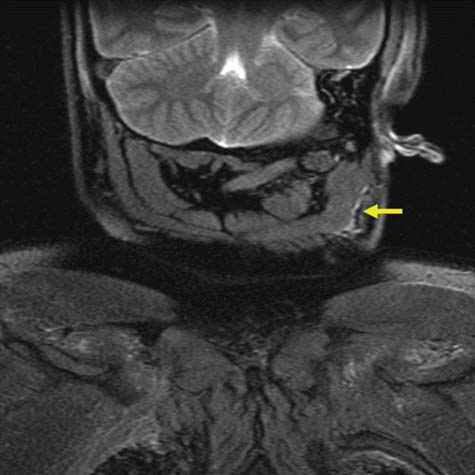
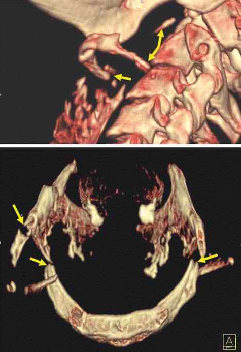
In cases of strangling or throttling, a limited amount of pressure is exerted onto the cervical vessels, thus giving rise to petechial hemorrhages. However, they are rarely encountered in cases of classic suicidal hanging. In these cases, the afferent and efferent blood vessels to the head are typically-if the noose is behind the mandibular angle-equally compressed. Therefore, no petechial hemorrhages are to be expected. Here, a thorough medicolegal inspection can reveal telltale imprints to the neck, even if the noose has been removed. Slight and superficial abrasions of the skin can often lead to the correct diagnosis. Additional hemorrhages of the subcutaneous tissue and the cervical musculature can, according to our experience, further support this hypothesis (Figure D3.2.18), although recent literature is uncertain as to the overall significance [17,18]. Furthermore, fractures of the hyoid bone or thyroid horns, a finding easily detected in postmortem MSCT (Figure D3.2.19 and Figure D3.2.20), give rise to the diagnosis blunt trauma to the neck [19,20].
These situations, when faced by inexperienced or all too experienced colleagues, can give rise to the premature diagnosis suicide by hanging. Unfortunately, it cannot be stressed enough that scene findings, no matter how convenient they may be, should always be seen in a critical light in the context as a whole. If only a single finding does not fit into the whole scene, then the examination should be performed with even more ardor and scrutiny than usual. The question of a homicide by prior choking and subsequent hanging to imitate a suicidal hanging must always be addressed [21]. Apart from the crime scene investigation, the medicolegal examination is of utmost importance. Here, several techniques, such as the assessment of muscle histology [22], can be of assistance. As Aghayev et al. [23] show, the examination of the posterior cricoarytenoid muscle can serve as an imminently important finding in cases of suspected blunt trauma to the neck such as in choking.
![]() |
![]() |
Postmortem imaging, especially in the form of MRI, can visualize such lesions that would otherwise only be detected at autopsy. The pathology and forensic imaging of choking is dealt with in further detail in Chapter D3.7, "Strangulation." Obviously, osseous lesions are easily seen in postmortem MSCT. Hyoid and thyroid fractures can give clues as to whether a blunt trauma occurred to the neck. A caveat is nevertheless to be made: Anatomical variations of the thyroid and hyoid structures may give the impression of such violent injuries. In these cases, a surrounding hemorrhage-as found in traditional autopsies-must be looked for. The lack of such hemorrhages in postmortem imaging deems a vital or fresh fracture of the throat skeleton rather unlikely.
Other lesions concern the cervical spine. Here, the vertebrae are of great interest. Almost every forensic pathologist has spent a considerable amount of time poring over 2D, conventional x-rays of the neck. At external examination, the diagnosis of a cervical fracture can be quite tricky. The admitting diagnosis of probable hangman fracture on autopsy requests is often incorrect. This usually false diagnosis is probably due to the death-certifying physicians' inexperience in examining corpses. In a fresh corpse, the lack of muscle tone compared with living persons may mimic a fracture of the cervical spine. A hangman fracture is-in contrast to the general layperson's (and medical community's) belief-a rarity. Such a fracture of the dens axis in a young and healthy individual with sufficient cervical muscle tone is indeed difficult to create. Such fractures arise only if a large amount of energy is applied to the neck in such a manner as to hyperextend the spine.
The book is full of such facts related to the issue of Virtual autopsy. We are sure our readers would enjoy the book as much as we at the journal office did.
Request a PDF file of this review by clicking here. (If your screen resolution can not be increased, or if printing this page is giving you problems like overlapping of graphics and/or tables etc, you can take a proper printout from a pdf file. You will need an Acrobat Reader though.)
N.B. It is essential to read this journal - and especially this review as it contains several tables and high resolution graphics - under a screen resolution of 1600 x 1200 dpi or more. If the resolution is less than this, you may see broken or overlapping tables/graphics, graphics overlying text or other anomalies. It is strongly advised to switch over to this resolution to read this journal - and especially this review. These pages are viewed best in Netscape Navigator 4.7 and above.
-Anil Aggrawal

[ Major links ]
[ Aims and Objectives ] [ FAQ ] [ Editorial Board ] [ Contributing Partners ] [ Sitemap ]
[ Paper/Thesis submission guidelines ] [ Editorials - Cumulative Index ] [ Discussion ] [ Chat room ] [ Be our sponsor! ]
[ Cumulative index of Book Reviews sorted by | Publishers | General Interest Books | Technical Books ] [ Animated Reviews ] [ Featured Reviews ] [ E-books ]
[ Reviews with Quizzes ] [ Links ] [ Submit books/journals/software/multimedia for review ] [ journal CD ] [ History of the Journal ] [ Interviews ] [ Credits ]
[ Cumulative index of | Theses/dissertations | [ Online Courses ] [ Awards ] [ Anil Aggrawal's Internet Journal of Book Reviews - Sister Publication ]
[ Cumulative reviews of Software/Multimedia | Books on CD/Audio tapes ] | Calenders | Models ] [ contact us ]
[ Undergraduate section | Postgraduate section ] [ Forensic gadgets/toys/other tidbits ]
Books for review must be submitted at the following address.
Professor Anil Aggrawal (Editor-in-Chief)
Anil Aggrawal's Internet Journal of Forensic Medicine and Toxicology
S-299 Greater Kailash-1
New Delhi-110048
India

Click here to contact us.
This page has been constructed and maintained by Dr. Anil Aggrawal, Professor of Forensic Medicine, at the Maulana Azad Medical College, New Delhi-110002. You may want to give me the feedback to make this pages better. Please be kind enough to write your comments in the guestbook maintained above. These comments would help me make these pages better.
IMPORTANT NOTE: ALL PAPERS APPEARING IN THIS ONLINE JOURNAL ARE COPYRIGHTED BY "ANIL AGGRAWAL'S INTERNET JOURNAL OF FORENSIC MEDICINE AND TOXICOLOGY" AND MAY NOT BE REPOSTED, REPRINTED OR OTHERWISE USED IN ANY MANNER WITHOUT THE WRITTEN PERMISSION OF THE WEBMASTER
Questions or suggestions ? Please use ICQ 19727771 or email to dr_anil@hotmail.com
Page Professor Anil Aggrawal via ICQ
|
