|
Received: July 16, 2000
Accepted: July 21, 2000
Ref:
Nishimura A., Sawada S., Ushiyama I., Tanegashima A., Nakagawa T., Ikemoto K., et. al. Postmortem diagnosis of brain disorders - The histochemical detection of glycoconjugate deposition with lectins. Anil Aggrawal's Internet Journal of Forensic Medicine and Toxicology, 2000; Vol. 1, No. 2 (July-Dec 2000):
; Published: July 22, 2000, (Accessed:
Email Dr. Nishimura by clicking here
: EMBASE Accession Number: 2004204945
![]() |
|
-Akiyoshi NISHIMURA 1, Sono SAWADA 1, Ikuko USHIYAMA 1, Akio TANEGASHIMA 2, Tokiko NAKAGAWA 1, Keiko IKEMOTO 3, Yoshio YAMAMOTO 1, Keiji SATOH 4, Steven RAND 5, Bernd BRINKMANN 5, Katsuji NISHI 1 |
The deposition of glycoconjugates in human brain tissue was investigated in cases with or without psychiatric disorders using histochemical techniques with lectins conjugated with peroxidase or biotin, antibodies against beta-amyloid and component P, and conventional staining methods. In addition, visualization of senile plaques and neurofibrillary tangles was performed with Con A, PSA, and/or deposits in the brain. One type of structure, known as the corpora amylacea, was stained by Con A, UEA-I, DBA and GSA-I-B4 lectins, and conventional stains such as hematoxylin-eosin, periodic acid Schiff, aldehyde fuchsin and alcian blue staining techniques. The other types of deposits were newly found in this study and were not stained by conventional and immunohistochemical staining methods. Perivascular type depositions were mainly found in patients with Alzheimer type dementia and showed remarkable reactivity with PSA, Con A, UEA-I, GSA-I-B4, DBA, PNA, SBA and ECA lectins. Spherical type depositions were mainly found in the hippocampal formation in cases of schizophrenia and stained by UEA-I, GSA-I-B4 and DBA lectins. The findings obtained in this study indicate that a dynamic balance between the activity of glycosyltransferases and relevant glycosidases might be important in the development of human brains, and degenerational changes such as depositions in the brain might result from a discordant glycometabolism. The lectin staining technique is a useful tool for the postmortem diagnosis of brain disorders.
Die Absetzung von glycoconjugates im menschlichen Gehirngewebe wurde in den Fällen mit oder ohne psychiatrische Störungen mit histochemischen Techniken mit den lectins nachgeforscht, die mit Peroxydase oder Biotin, Antikörpern gegen Beta-Amyloid und Bestandteil P und herkömmlichen befleckenden Methoden konjugiert wurden. Zusätzlich wurde Sichtbarmachung der senile Plaketten und der neurofibrillary Verwicklung mit Con A, PSA und/oder Ablagerungen im Gehirn durchgeführt. Eine Art Struktur, bekannt als das Korpusamylacea, wurde durch Con A, UEA-I, DBA und GSA-I-B4LECTINS und herkömmliche Flecke wie Hematoxylineosin, periodischen sauren Schiff, Aldehydefuchsin und alcian blaue Färbtechniken befleckt. Die anderen Arten der Ablagerungen wurden eben in dieser Studie gefunden und wurden nicht durch die herkömmlichen und immunohistochemical befleckenden Methoden befleckt. Perivascular Artabsetzungen wurden hauptsächlich bei Patienten mit Artdementia Alzheimer gefunden und bemerkenswerte Reaktivität mit PSA-, Con- A, UEA-I, GSA-I-B4, DBA-, PNA-, SBA- und ECA-LECTINS zeigten. Kugelförmige Artabsetzungen wurden hauptsächlich in der hippocampal Anordnung in den Fällen von der Schizophrenie gefunden und befleckt durch UEA-I, GSA-I-B4 und DBALECTINS. Die Entdeckungen, die in dieser Studie erreicht werden, zeigen an, daß eine dynamische Abgleichung zwischen der Aktivität von glycosyltransferases und von relevanten glycosidases in der Entwicklung der menschlichen Gehirne wichtig sein konnte, und degenerationaländerungen wie Absetzungen im Gehirn konnten aus einem nicht übereinstimmenden glycometabolism resultieren. Die Färbtechnik des lectin ist ein nützliches Hilfsmittel für die Postmortemdiagnose der Gehirnstörungen.
Le dépôt des glycoconjugates dans le tissu humain de cerveau a été étudié dans les cas avec ou sans des désordres psychiatriques en utilisant des techniques histochimiques avec des lectins conjugués avec de la peroxydase ou la biotine, les anticorps contre l'bêta-amyloïde et le composant P, et les méthodes de souillure conventionnelles. En outre, la visualisation des plaques séniles et de l'embrouillement neurofibrillary a été exécutée avec Con A, PSA, et/ou dépôts dans le cerveau. Un type de structure, connu sous le nom d'amylacea de corpus, a été souillé par Con A, lectins d'cUea-i, de DBA et de GSA-I-B4, et taches conventionnelles telles que l'hematoxylin-éosine, le Schiff acide périodique, le fuchsin d'aldéhyde et les techniques de coloration bleus alcian. Les autres types de dépôts ont été nouvellement trouvés dans cette étude et n'ont pas été souillés par des méthodes de souillure conventionnelles et immunohistochemical. Des dépôts périvasculaires de type ont été principalement trouvés dans les patients présentant la démence de type d'Alzheimer et ont montré la réactivité remarquable avec des lectins de PSA, de Con A, d'cUea-i, de GSA-I-B4, de DBA, de PNA, de SBA et d'cEca. Des dépôts sphériques de type ont été principalement trouvés dans la formation hippocampal dans les cas de la schizophrénie et souillés par des lectins d'cUea-i, de GSA-I-B4 et de DBA. Les résultats obtenus en cette étude indiquent qu'un équilibre dynamique entre l'activité des glycosyltransferases et des glycosidases appropriés pourrait être important dans le développement des cerveaux humains, et les changements de degenerational tels que des dépôts dans le cerveau pourraient résulter d'un glycometabolism discordant. Le technique de coloration de lectin est un outil utile pour le diagnostic post mortem des désordres de cerveau.
Glycoconjugates including gangliosides, glycosaminoglycans and glycoproteins are normal membrane constituents and are highly expressed in the central nervous system 1. Glycosylated molecules, which are synthesized by neurons and glia and are present on the surfaces, include neural cell adhesion molecules as well as possible counterparts present within an extracellular matrix. These molecules may play prominent roles during the development of functional neural circuitry, due to the implication of glycoconjugates in mediating cell-cell recognition, neurite outgrowth, synaptogenesis, transmembrane signalling, and cell growth and differentiation 2-4. The expression, distribution, accretion and decrease in the patterns of glycoconjugates in the brain have been assumed to change with development, the process of ageing and disease. The presence of glycoconjugates in the corpora amylacea, amyloid deposits, neuritic plaques and neurofibrillary tangles have been observed in many studies 5-7. We employed lectin staining 8 to detect the deposition of glycoconjugates in the brain for the postmortem diagnosis of brain disorders, as a histopathological diagnosis of the brain is often required in forensic autopsy cases of senile abuse, domestic violence or hit and run accidents in which the victims suffered from dementia, brain or psychiatric disorders.
We examined 42 brains taken at autopsy from 4 cases of Alzheimer type dementia (74-84 years old), 4 cases with limbic neurofibrillary tangle dementia (69-88 years old), 2 cases with Down's syndrome (32 and 44 years old), 7 cases with schizophrenia (30-55 years old.) and 25 cases with no neuropsychiatric symptoms or brain lesions as controls (3 months-83 years old). All brains were obtained within 4 days (16.9 ± 19.3 h) after death. Cases of Alzheimer type dementia and limbic neurofibrillary tangle dementia were diagnosed pathologically on the staging criteria of Braak9 but cases of Down's syndrome and schizophrenia were diagnosed clinically. The tissues were fixed in 4% formaldehyde solution for 6-8 days at room temperature. The samples were routinely processed, embedded in paraffin wax, and 4 micro m sections were obtained. Sections were deparaffinized in xylene and hydrated in a graded ethanol series. The lectin binding pattern was established using horseradish peroxidase (HRP) and/or biotinylated lectins. The lectins employed and their specific sugar affinities are listed in Table 1.
Table 1. Carbohydrate binding specificity of lectins used in this
study
|
Lectin |
Abbreviation |
Carbohydrate
binding specificity |
|
Archis
hypogaea agglutinin |
PNA |
Gal
beta-1,3-GalNAc |
|
Griffonia
simplicifolia iso agglutinin I-B4 |
GSA-I-B4 |
alpha-Gal |
|
Dolichos
biflorus agglutinin |
DBA |
alpha-GalNAc |
|
Ulex
europaeus agglutinin |
UEA-I |
alpha-Fuc |
|
Glycine
max agglutinin |
SBA |
alpha
and beta-GalNAc |
|
Pisum
sativum agglutinin |
PSA |
Branched
alpha-Man with alpha-Fuc as determinant |
|
Canavalia
ensiformis agglutinin |
Con A |
Branched
alpha-Man |
|
Erythrina
cristagalli |
ECA |
Gal
(beta 1,3) GlcNAc |
GlcNAc: N-acetylglucosamine, Gal: galactose, GalNAc:
N-acetylgalactosamine, Fuc: Fcose, Man: mannose
For histochemical staining HRP-conjugated lectins were used diluted to 20micro g/ml with 0.05M-Tris buffered saline (TBS), pH 7.4. Briefly, endogenous peroxidase was blocked with 0.3% hydrogen peroxide in 40% methanol. After sections were rinsed, covered with 1% bovine serum albumin in TB for 60min and incubated for 90min at room temperature with Con A (Sigma Chemical, Mo.), GSA-I-B4 (E.Y. Laboratories, Ca.), UEA-I (Hohnen Co., Japan) or DBA (Sigma Chemical Co., Mo.) the peroxidase reaction was developed with 0.05% 3,3'-diaminobenzidine and 0.015% hydrogen peroxide in TB.
For labeling with biotinylated lectins (diluted to 20micro g/ml with TBS), a two-step technique was applied. In brief, endogenous peroxidase activity was blocked by 30min treatment with 0.3% hydrogen peroxide in 40% methanol. After sections were rinsed, covered with 1% bovine serum albumin in TB for 60min and incubated for 90min at room temperature with PNA (E.Y. Laboratories, Ca.), SBA (Sigma Chemical Co., Mo.) and PSA (Vector Laboratories, Ca.) they were rinsed and incubated with streptavidin-peroxidase complex (100micro g/ml, Nichirei, Japan) for 30min at room temperature. Peroxidase activity was visualized with 0.05% 3,3'-diaminobenzidine and 0.015% hydrogen peroxide in Tris-buffer (pH8.0). After every staining procedure, sections were rinsed in 0.05M-Tris-buffer 3 times for 5min.
Conventional staining methods such as hematoxylin-eosin (HE), periodic acid Schiff (PAS), aldehyde fuchsin (AF), alcian blue (AB), Bodian and thioflavin staining methods, and immunohistochemical staining methods for beta-amyloid (diluted to 0.5micro g/ml with TBS, DAKO Co., Ca.) and component P (diluted to 1micro g/ml with TBS, DAKO Co., Ca.) were also utilized in this study using previously described procedures for lectin and immuno-histochemistry 8, 10.
Two types of degenerative changes, seniles plaques and neurofibrillary tangles and four types of deposits in brains could be detected by lectin-histochemical methods in brains from cases with brain disorder and aged persons. The patterns of lectin binding and conventional staining are shown in Table 2.
Table 2. Patterns of lectin (Con A, PSA, GS-I-B4, UEA-I, DBA, PNA, SBA and ECA) binding and conventional staining (HE and PAS) in degenerative changes and glycoconjugate deposits.
|
Type of Degenerative Change |
Con A |
PSA |
GS-I-B4 |
UEA-I |
DBA |
PNA |
SBA |
ECA |
HE |
PAS |
|
SP |
+ |
+ |
+ |
- |
- |
- |
- |
- |
- |
- |
|
NFT |
+ |
+ |
- |
- |
- |
- |
- |
- |
- |
- |
|
CA |
+or- |
- |
+ |
+ |
+ |
+ or - |
+ or - |
+ or - |
+ |
+ |
|
Straitiform |
+ |
+ |
+ |
+ |
+ |
+ |
+ |
- |
- |
- |
|
Vascular |
- |
- |
+ |
+ |
+ |
- |
- |
- |
- |
- |
|
Spherical |
+ |
- |
+ |
+ |
+ |
+ |
+ |
+ or - |
- |
+ or - |
![]() |
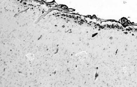
Neurites within Senile plaques detected by Bodian staining in the cortex and hippocampal formation were diffusely stained with Con A, PSA, WGA and GSA-I-B4 (Fig. 1A), but not stained with other lectins, although the staining intensity varied, reacting strongly with Con A and PSA, and moderately with WGA and GSA-I-B4.
The neuronal perikarya in neurofibrillary tangles detected by Bodian stain were stained by Con A and PSA (Fig. 1B).
![]() |
The corpora amylacea were found mainly in the sub-pial and ependymal regions and thinly in the hippocampal formation, white matter of the cerebrum and cerebellum, and/or brainstem from aged individuals. The large number of corpora amylacea (3+ score in Table 3) was observed in the hippocampal formation from 2 patients with Alzheimer type dementia (74 year-old, male and 76 year-old female), 2 patients with dementia with neurofibrillary tangles (82 year-old female and 83 year-old male) and two patients with Down's syndrome, and thinly found in the sub-pial and ependymal regions of the hippocampal formation from 7 patients with schizophrenia and 12 of the controls.
![]() |
HE, PAS, AB and AF stains, and most of corpora amylacea appeared to be clearly and strongly shown by lectin staining using GSA-I-B4, UEA-I, DBA (Fig. 1C), and other lectins stained all of the corpora amylacea.
Con A and PSA stained the amorphous structures in cerebral or cerebellar cortex in some patients with Alzheimer type dementia and patient with Down's syndrome (not shown), confirming the findings described by Mann et al 11, who reported that the deposits of amyloid protein detected by anti-A4 in cerebral or cerebellar cortex were also stained by Con A.
In addition to these amyloid proteins, three kinds of carbohydrate deposits were newly detected in the hippocampal formation, pons, occipital lobe, thalamus, basal nucleus and/or cerebellar white matter by lectin staining in this study. These carbohydrate deposits were composed of stratiform, vascular and spherical types, and showed different characteristics in the morphology and reactivity with lectins. The vascular and stratiform types depositions were weakly stained by antibodies against beta-amyloid but component P was not observed, and the spherical type depositions were not detected with these staining methods but showed weak reactivity with PAS staining.
![]() |
One type of deposit that has an amorphous and stratiform shape with a clear border was observed independently in blood vessels in the white matter of the cerebrum and cerebellum from 10 patients with Alzheimer type dementia, 2 patients with Down's syndrome, 4 patients with schizophrenia and 5 aged individuals.
![]() |
This type of deposit was stained as a bulky form by GSA-I-B4, UEA-I, DBA, ECA, SBA, PNA, Con A and PSA (Fig. 2A).
The second kind of deposit was recognized around blood vessels in the cerebrum and cerebellum. In two patients with Down's syndrome a large number of deposits were detected in the external space of medium size arteries in the cerebellar and/or cerebral white matter, where this type of deposit was also recognized in the brains from five cases with Alzheimer type dementia, two with schizophrenia, and three aged individuals.
This type of deposit showed an amorphous and colorless shape in HE staining and was granularly stained by GSA-I-B4, UEA-I and DBA (Fig. 2B), but not or poorly stained by Con A, PSA and other lectins.
The third kind of deposit showed a spherical shape containing granules and was stained in the white matter of the cerebrum and cerebellum with GSA-I-B4, UEA-I and DBA (Fig. 2C), but not with Con A, PSA and other lectins. Although this type of deposit was thinly and sparsely recognized in the brains of patients with Alzheimer type dementia, Down's syndrome and aged individuals, grouping of the deposits was clearly observed in the molecular layer of the dentate of the hippocampal formation in seven cases with schizophrenia.
The major carbohydrate-rich components in brain tissue are gangliosides, glycosaminoglycan, and glycoproteins 12, 13. In our previous study, we also reported the presence of carbohydrate chains in Purkinje cells, astrocytes and microglia obtained from individuals without brain lesions and the presence of Lewis x antigen in neurons of the brainstem and cerebral cortex obtained from infants 14. The Lewis x antigen, Gal beta-1-4(Fuc alpha-1-3) GlcNAc beta-1-R, detected on the surface of neurons in the cortex of new born infants disappeared rapidly within 6 months after birth and was expressed on astrocytes in the white matter from young adults, and microglia in the cortex from aged individuals, showing age-related expression of the antigen14.
![]() |
Dasgupta et al.15 reported the existence of fucosyltransferase and fucosidase in the brain and that the expression of Lewis x and ganglio-series neural glycosphingolipids were stage-specific during brain development. The expression and disappearance of the glycoconjugate antigens in some regions of the brain may be the result of a dynamic equilibrium between the activities of glycosyltransferases, relevant glycosidases and transport of carbohydrate molecules. It is now accepted that glycoconjugates are involved in biological recognition processes such as those that occur during fertilization, embryogenesis, metastasis, inflammation, and host pathogen adhesion2-4. A disorder of this balance seems to cause a dysfunction of these biological mechanisms and the formation of glycoconjugate deposits.
In this study we revealed that two types of degenerative changes and four types of carbohydrate deposits in the brains from patients with brain disorder or individuals without brain lesions could be detected by means of lectin-histochemical methods.
The characteristic histopathological lesions of Alzheimer type dementia consisting of the presence of senile plaques, neurofibrillary tangles and cerebrovascular amyloid deposits are termed congophilic angiopathy. Although some of these lesions may be found in the brains of aged individuals, they are present in much lesser amounts, indicating that the diagnosis of Alzheimer type dementia relies primarily on the quantitative assessment of these lesions. Lectin histochemistry for senile plaques and neurofibrillary tangles in Alzheimer type dementia has indicated that they contain glycosyl residues 16. The beta-amyloid present in the core of senile plaques in Alzheimer type dementia is speculated to be a membrane glycoprotein 17. Wang et al. 18 reported that the major protein subunit of the paired helical filaments (PHF) that compose neurofibrillary tangles and senile plaques was the microtubule-associated protein tau that is abnormally glycosylated, whereas no glycan was detected in normal tau. Their study revealed reactivity with GNA, DSA, and PNA lectins showing the presence of carbohydrate residues such as GluNAc, GluNAc-beta-1-4-GluNAc- beta-1-4-GluNAc and Gal-beta-1-3-GalNAc in the PHF, respectively. In the present study, neurofibrillary tangles and senile plaques reactivities were weak compared with the triple stain, senile plaques, neurofibrillary tangles and glial fibrillary tangles were secondly detected by beta-amyloid and several kinds of astrocytes including thorn-shaped astrocytes were detected by GFAP. The triple staining method was more useful than lectins for the detection of senile plaques and neurofibrillary tangles.
The corpora amylacea in normal aged controls were generally observed in the surface pia or surface of the cortex and reactivity with antibodies against tubulin, serum amyloid component and ubiquitin has been reported 19, 20. In this study we showed that corpora amylacea which contain glycoconjugates were easily detected by lectin staining and Singhrao et al. 21 described that corpora amylacea could represent one of the earliest indications of neural damage.
We found three types of deposited material stained by lectins in the white matter of the cerebrum and cerebellum of patients with Alzheimer type dementia, Down's syndrome and schizophrenia. The first two types of deposit were able to distinguish amyloid angiopathy, since these carbohydrate deposits that existed surrounding blood vessels showed no reactivity with PSA and Con A. At present, however, we are unable to explain the origin, source, biochemical components and pathological significance of these carbohydrate deposits; whether it relates to intracellular degradation of neurons or whether it results from extracellular accumulation of mucopolysaccharides due to disruption of the blood brain barrier is not known. Dela Monte22 described that the vascular changes in white matter lesions are frequently found in Alzheimer type dementia patients and degeneration of the white matter occurs in the preclinical stage of Alzheimer type dementia when cortical atrophy is not yet evident. The recognition rates of the deposits in the white matter in the present study were correlated with the stage pathologically diagnosed with Bodian and/or immunohistochemical methods, and no deposits was observed in the white matter from individuals with no brain disorders (controls). The findings obtained in this study together with the findings of Dela Monte indicate that the detection of these depositions may be a useful tool for the diagnosis of brain disorders in the forensic practice using lectin-histochemical methods combined with the triple staining method 23. The spherical type deposits could be detected by UEA-I, GSA-I-B4 and DBA in the molecular layer of the dentate gyrus of the hippocampal formation only in cases with schizophrenia. In the granular cell layer of the hippocampus, the Le x antigen was clearly expressed and sharply delineated leaving unstained granular cells 14. Wiederschain et al. 24 described that fucosyltransferase and various glycosidases that are involved in the biosynthesis or degradation of Le x antigens and their precursors in the central nervous system are developmentally regulated.
The dysfunction of a dynamic balance between the activity of glycosyltransferases and relevant glycosidases may relate to one of the pathogeneses of schizophrenia. Since each type of deposit and degenerational change detected in this study showed individual characteristics in the morphology and reactivity with lectins and/or conventional staining methods. This is probably directly related to a disease-specific aberration in the glycometabolism. The carbohydrate deposits detected by lectin histochemistry in this study seem to be suitable pathogenic markers for the detection of the various types of brain disorder.
This work was supported in part by a grant-in-aid for Scientific Research from the Ministry of Education, Science and Culture of Japan (No. 11670413).
*Corresponding author and requests for reprints:
-Anil Aggrawal
Questions or
suggestions ? Please use ICQ 19727771
or email to
dr_anil@hotmail.com
Page Professor Anil Aggrawal via
ICQ
Akiyoshi Nishimura M.D., Ph.D.
Department of Legal Medicine,
Shiga University of Medical Science,
Seta-tsukinowa-cho, Otsu, Shiga, 520-2192, Japan
Tel: +81-77-548-2202
FAX: +81-77-548-2200
N.B. It is essential to read this journal - and especially this paper as it contains several tables and high resolution graphics - under a screen resolution of 1600 x 1200 dpi or more, and preferably on a 17" or bigger monitor. If the resolution is less than this, you may see broken or overlapping tables/graphics, graphics overlying text or other anomalies. It is strongly advised to switch over to this resolution to read this journal - and especially this paper. These pages are viewed best in Netscape Navigator 4.7 and above.
Click here to contact us.
This page has been constructed and maintained by Dr. Anil Aggrawal, Professor of Forensic Medicine, at the Maulana Azad Medical College, New Delhi-110002. You may want to give me the feedback to make this pages better. Please be kind enough to write your comments in the guestbook maintained above. These comments would help me make these pages better.
IMPORTANT NOTE: ALL PAPERS APPEARING IN THIS ONLINE JOURNAL ARE COPYRIGHTED BY "ANIL AGGRAWAL'S INTERNET JOURNAL OF FORENSIC MEDICINE AND TOXICOLOGY" AND MAY NOT BE REPOSTED, REPRINTED OR OTHERWISE USED IN ANY MANNER WITHOUT THE WRITTEN PERMISSION OF THE WEBMASTER
