|
Received: May 17, 2001
Accepted: July 1, 2001
Ref:
Nishimura A., Yamamoto Y and Nishi K. Expression of ABH and ABH-related antigen in secretory cells of indoors pets: Species analysis should be necessary prior to ABO blood grouping in stain analysis. Anil Aggrawal's Internet Journal of Forensic Medicine and Toxicology, 2001; Vol. 2, No. 2 (July-Dec 2001):
; Published July 1, 2001, (Accessed:
Email Dr. Nishimura by clicking here
: EMBASE Accession Number: 2004204925
![]() |
|
-Akiyoshi NISHIMURA, Yoshio YAMAMOTO and Katsuji NISHI |
The distribution of ABH and related antigens in selected tissues of humans, rats and cats was examined using histochemical methods. Although the reactivity of MoAbs against ABH related antigens with the tissues were different and varied among the animal species including humans, the antigens were expressed in the secretory cells of salivary glands, reproductive organs and kidneys from animals inhabiting around humans. The results obtained in this study indicate that in view of forensic practice, the species identification prior to ABO blood grouping in the stain analysis is indispensable to avoid mistyping due to contaminated materials from indoor pets.
Since 1901, when K Landseiner 1 discovered the ABO blood group stem, the ABO blood group has been widely applied in forensic medicine and transfusion medicine. Most of methods developed for determining ABO type after 1960's can guarantee high ratio of correct results and have great sensitivity, using monoclonal antibodies. In the past several years, the ABO genotyping methods in genomic DNA level by PCR 2, 3 were also developed.
Although the molecular-biochemical nature of the antigens is quite well characterized 4, and the allelic cDNA of ABO blood group had been cloned and sequenced, no clear explanation of the biological significance of the ABH and related antigens has been proposed. It has been suggested that Le x antigen plays a role in cell adhesion of the early mouse embryo 5.
The ABH antigens were expressed in the secretory cells of many mammals 6, 7, 8 . In this study we examined the distribution of ABH related antigens in the taste bud cells in tongues, lingual and salivary glands, and urogenital organs from humans, cats and rats in order to primate better understanding on the biological significance of the antigens, using monoclonal antibodies (MoAbs) against the ABH and related antigens. The results obtained from the present study suggested that the ABH and related antigens may play certain roles in taste chemoreceptor systems, cell-cell recognition and adhesion system, and in the processes of development of spermatogenetic systems. In view of forensic practice, the importance of species identification prior to ABO blood grouping from salivary, seminal and/or urinal stains are stressed on the basis of the present results.
Tissue specimen, of tongues, lingoes, testises and kidneys from humans, rats and cats, and prostates from humans and rats were used in this study. Tissues from these animals were obtained from the Institute for Experimental Animals of Shiga University of Medical Science. Human tissue specimens were fixed in 10% formalin, embedded in paraffin and sectioned serially at 5µm. The staining procedure were described previously, using anti A, B, H, Le x, and Le y MoAbs and horseradish peroxidase labeled Helix pomartia agglutinin (HPA) which is specific to blood group A antigen 9, 10. Anti A and B MoAbs were purchased from Ortho Diagnosis Systems (Raritan, N. J. USA), and Knickerbocker, S. E. A. (Barcelona, Spain) and anti H and Le x MoAbs were from Dako (Santa Barbara, Ca., USA). Anti Le a and Le b MoAbs were obtained from Signet Laboratories (Cambridge, MA, USA) and anti Le y was from Nihon Koutai (Gunma, Japan). HPA lectin was obtained from E. Y. Laboratories (San Mateo, Ca., USA).
The ABO grouping of animal and human individuals examined in this study could be determined by the reactivity of anti A, B and/or H MoAbs with secretory cells of submandibular and von Ebner's glands.
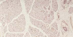
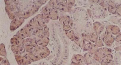
Although all individuals of cats examined were grouped into blood group A, they were classified into two subgroups according to the difference in the distribution of A and H antigens in the submandibular gland. In one group of cats, A antigen was expressed both in the mucous and duct cells of the gland but the H antigen was found only in the duct cells (Fig.1 a, b). In another group, pattern of the expression of these antigens was reverse, i. e., H antigen was expressed both in mucous and duct cells while A antigen was expressed only in duct cells. Similar difference in staining patterns with anti H or A MoAbs were also recognized in the serous cells of von Ebner's gland and mucous cells of lingual gland in the tongues. In both groups, Le x and Le y MoAbs stained the duct cells of submandibular glands (Fig.1 c, d). Anti Le y MoAbs stained moderately the serous cells of von Ebner's gland, weakly the mucous cells of the lingual glands and strongly the duct cells of submandibular glands and lingual glands (Fig.1 d). Anti Le x MoAbs showed weak reactivity with the duct of other glands Anti A and/or H MoAbs stained the taste bud cells corresponding to the reactivity in the salivary gland of individuals (Fig.1 c). The taste bud cells were moderately stained by Le y and feebly by Le x MoAb. Anti Le a and Le b MoAbs showed no reactivity with the secretory cells of salivary glands and taste bud cells of cats. The reactivity with anti A and/or H MoAbs were observed in all of the individuals of cats examined.
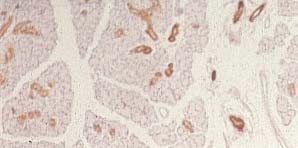
The blood groups of rats were determined to be blood group B and AB. In blood group AB rats, anti A MoAbs stained secretory cells of submandibular glands and anti H MoAbs stained secretory and duct cells (Fig.2 a, b). Anti B, Le a, Le b and Le y MoAbs stained duct cells of the glands. The serous cells of von Ebner's glands of rats were moderately stained by anti A, B and/or H MoAbs. Positive reaction of Le a, Le b and Le y MoAbs was observed in the serous cells of von Ebner's glands but their staining intensity varied. The mucous cells of lingual glands in tongues were weakly stained by anti A and/or B MoAbs and feebly by anti H, Le x MoAbs. The taste bud cells were moderately stained by anti A and/or B MoAbs and Le y MoAbs, weakly by anti H MoAbs and feebly by anti Le a, Le b and Le x MoAbs. Non- secretor individuals of rats were not observed.
Only H antigens were expressed in the serous cells of the submandibular glands from Japanese secretor individuals irrespective of the ABO group of the donors and no antigen was recognized in the serous cells from non-secretor donors. A, B and H antigens were expressed in the mucous cells from submandibular glands from Japanese secretor individuals corresponding to the blood group of the donors. Anti A and B MoAbs from Knikerbocker, showed moderate or weak reactivity with the mucous cells from non-secretor individuals. Anti H MoAbs from Dako, specific to Type 2 chain, did not stain the mucous cells of submandibular glands from blood group A1 and B individuals irrespective of the secretor status of the donors and from blood group O non-secretor individuals. The taste bud cells of humans showed the reactivity with the MoAbs corresponding to the blood type of the red cells and secretor status of the donors.
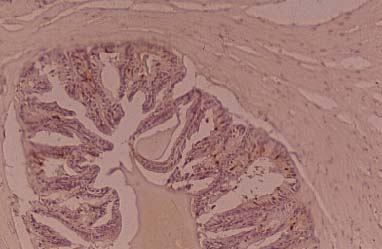
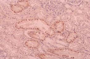
The epithelial cells of proximal tubules of cat kidneys were stained with anti A, Le y and Le x MoAbs (Fig.3 a, c, d). The positive reaction was recognized exclusively in the Golgi region of the cells. Anti H (Fig.3 b), Le a and Le b MoAbs showed no reactivity with the cells in the kidney. In this study, the examination of the prostates of cats was not performed since the organs could not be obtained. Anti A MoAbs and HPA lectin showed good reactivity with the epithelial cells of epididymis including secretory fluid and spermatozoa in the lumen of epididymis (Fig.4). Le x and Le y MoAbs showed weak reactivity with the epithelial cells of ductus efferent.
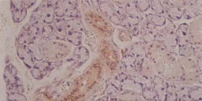
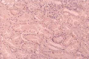
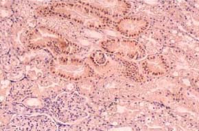
The cells of collecting tubules of rats were moderately stained by Le y and weakly by anti Le x, Le a, Le b MoAbs. A, B and/or H MoAbs stained faintly the cells of collecting tubules. The epithelial cells of the prostate of rat were moderately stained with anti A and/or B MoAbs corresponding to the blood group of the individuals (Fig.5 a, b). Ant Le y MoAbs strongly stained the epithelial cells of prostates and anti Le x stained the epithelial cells of the ductus deference. Anti H, Le a and Le b MoAbs showed feeble or no reactivity with the epithelial cells of the prostates of rats. Although HPA lectin, specific to blood group A antigen, showed good reactivity with the epithelial cells of the epididymis from all the rats and the B and H antigens were not detected in the cells of epididymis of rats.
Anti A, B and/or H MoAbs stained the cells of collecting tubules in human kidneys, corresponding to the blood group of the donors. Anti Le a, b, x and y MoAbs showed good reactivity with the cells of collecting tubules, irrespective of the ABO blood groups and secretor status of the donors. The epithelial cells of the prostates were stained by A, B and H MoAbs corresponding to the blood groups of the donors. The reactivity with MoAbs including anti Le a, Le b, Le x and Le y in the prostate varied and showed the mosaic distribution pattern irrespective of the blood groups and secretor status of the donors. Although ABH and related antigens were expressed in the epididymis and seminal vesicles corresponding to the blood groups and secretor status of the donors, the reactivity of Le a and Le b MoAbs were not detected in the seminal vesicles. The ABH and related antigens were not observed in the vascular endothelium and red blood cells of rats and cats.
The results of the present study demonstrated that the ABH and related antigens are expressed in the salivary glands, taste bud cells, kidneys and prostates from humans, rats and cats. However, the patterns of distribution of these antigens vary considerably between different species and tissues. Although Le a, Le b, Le x and/or Le y antigens were expressed in rats and human tissue, Le a and Le b antigens were not detected in the tissues of cats. Blood group ABH antigens in human tissues are mainly carried by either type 1 or type 2 carbohydrate chains 11. The Le a and Le b antigens are type 1 and Le x and Le y antigens are type 2 based antigens, respectively. The results obtained indicates that both the type 1 and type 2 carbohydrate chains of the ABH antigens were secreted in the tissues of humans and rats whereas only type 2 chain antigens were expressed in tissues of cats.
![]() |
The distribution patterns of ABH antigens in the submandibular gland of cats and rats were different from those of humans. In cats, the A antigen was secreted only in duct cells from one group and both in the mucous and duct cells from another group. In rats, the A antigen was secreted in the mucous cells and the B antigen were secreted in duct cells of blood group AB rats. In addition, non-secretor types were not observed in rats and cats examined. These results indicate that the genetic control systems of the tissue-specific expression of the blood group antigens might in humans be quite different from those of other mammalian species. Gurkan and Bradley 12. described that secretion from von Ebner's glands may influence the response of the taste receptors.
The finding of ABH and related antigens in the taste bud cells and von Ebner's glands may provide an important clue to the role of these antigens in the chemoreceptor systems in taste bud cells. It has been suggested that Le x antigen plays a role in cell adhesion of the early mouse embryo, since the Le x antigen appeared in the developing embryo at the compaction stage 5. Nomura et al. 13 detected blood group B active glycosphingolipids in Xenopus laevis eggs and suggested that the B antigen plays a role in the cell-adhesion process of Xenopus embryonic cells. The ABH and related-antigens secreted in the reproductive organs might also be involved in the processes of spermatogenesis of mammals.
The ABH and related-antigens were expressed in the salivary glands, kidneys and reproductive organs of rats and cats as well as in those from humans. Based on the results obtained in this study, we must emphasize that the species identification prior to ABO blood grouping is indispensable because forensic materials such as the stains from saliva, urine and seminal fluid might be contaminated with the fluid from indoor pets.
|
![]() |
(1) K. Landsteiner: Über Agglutinationserscheinung Normalen Menschlichen Blutes. Wien. Klin. Wschr. 14, 1132-1134, 1901. (Back to the paper)
(2) M. Yamada, M. Kane, Y. Yamamoto, T. Fukunaga and K. Nishi: ABO blood grouping at DNA level. J. Clin. Exper. Med. 161, 997-998, 1992. (Back to the paper)
(3) JC-T. Lee and J-G. Chang: ABO genotyping by polymerase chain reaction. J. Forens. Sci. 37, 1269-1275, 1992. (Back to the paper)
(4) W. M. Watkins: Genetic regulation of the structure of blood group specific glycoproteins. Biochem. Soc. Symp. 40, 125-146, 1974. (Back to the paper)
(5) H. C. Gooi, T. Feizi, A. Kapadia, B. B. Knowles, D. Solter and M. J. Evans: Stage-specific embryonic antigen involves alpha 1-3 fucosylated type 2 blood group chains. Nature 292, 156-158, 1981. (Back to the paper)
(6) K. Nishi, T. Fukunaga, Y. Yamamoto, M. Yamada, M. Kane, N. Ito and S. Kawahara: Species identification from tissue particles using lectin- and immuno-histochemical methods. Adv. Forens. Hemoge. 4, 407-409, 1992. (Back to the paper)
(7) K. Nishi, N. Itho, S. Kawahara, A. Ishitani, H. Ohkubo and T Hirota: Localization of blood group related antigens in different tissues from some mammalian species. Jpn. J. Legal Med. 45 suppl., 230, 1991. (in Japanese) (Back to the paper)
(8) N. Itho, K. Nishi, S. Kawahara, A. Ishitani, H. Ohkubo and T Hirota: Localization of blood group related antigens in salivary glands from some primate species. Jpn. J. Legal Med. 45 suppl., 231, 1991. (in Japanese) (Back to the paper)
(9) K. Nishi, G. Fechner, S. Rand and B. Brinkmann: Light-microscopic examination of ABH and Lewis antigens in human tracheal and epiglottic glands using the Avidin-Biotin-Peroxidase Complex technique. Z. Rechtsmed. 102, 255-262, 1989. (Back to the paper)
(10) N. Itho, K. Nishi, M. Nakajima, Y. Matsuda, A. Ishitani, J. Mizumoto and T. Hirota: Localization of blood group antigens in human pancreas with lectin-horseradish peroxidase conjugates. Acta Histochem. Cytochem. 19, 205-218, 1986. (Back to the paper)
(11) N. Itho, K. Nishi, M. Nakajima, Y. Okamura and T. Hirota: Histochemical localization and analysis of blood group-related antigens in human pancreas using immunostaining with monoclonal antibodies and exoglycosidase digestion. J. Histochem. Cytochem. 38, 1331-1340, 1990. (Back to the paper)
(12) S. Gurkan and R. M. Bradley: Secretion of von Ebner's glands influence response from taste buds in rat circumvallate papilla. Chemical Sense. 13, 656-661, 1988. (Back to the paper)
(13) K. Nomura, N. Nakajima, K. Hidari, H. Nomura, M. Murata, M. Suzuki, K. Yamana and Y. Hirabayashi: Occurrence of a novel fucose-containing pentaglycosylceramide with blood group B active determinant in Xenopus blastula cells; its possible involvement in cell-cell adhesion. Biochem. J. 306, 821-827, 1995. (Back to the paper)
*Corresponding author and requests for reprints:
-Anil Aggrawal
Akiyoshi Nishimura M.D., Ph.D.
Department of Legal Medicine,
Shiga University of Medical Science,
Seta-tsukinowa-cho, Otsu, Shiga, 520-2192, Japan
Tel: +81-77-548-2202
FAX: +81-77-548-2200
N.B. It is essential to read this journal - and especially this paper as it contains several tables and high resolution graphics - under a screen resolution of 1600 x 1200 dpi or more, and preferably on a 17" or bigger monitor. If the resolution is less than this, you may see broken or overlapping tables/graphics, graphics overlying text or other anomalies. It is strongly advised to switch over to this resolution to read this journal - and especially this paper. These pages are viewed best in Netscape Navigator 4.7 and above.
Click here to contact us.
This page has been constructed and maintained by Dr. Anil Aggrawal, Professor of Forensic Medicine, at the Maulana Azad Medical College, New Delhi-110002. You may want to give me the feedback to make this pages better. Please be kind enough to write your comments in the guestbook maintained above. These comments would help me make these pages better.
IMPORTANT NOTE: ALL PAPERS APPEARING IN THIS ONLINE JOURNAL ARE COPYRIGHTED BY "ANIL AGGRAWAL'S INTERNET JOURNAL OF FORENSIC MEDICINE AND TOXICOLOGY" AND MAY NOT BE REPOSTED, REPRINTED OR OTHERWISE USED IN ANY MANNER WITHOUT THE WRITTEN PERMISSION OF THE WEBMASTER
