Poster Session: POSTER 8: Thromboembolism by B.D. Gupta and colleagues :Anil Aggrawal's Internet Journal of Forensic Medicine, Vol.14, No. 1, Jan - June 2013
  home  > Vol.14, No. 1, Jan - June 2013  > Index of posters  > Poster 8: Thromboembolism (you are here)
Navigation ribbon

Received: November 8, 2012
Accepted: November 17, 2012
Ref: Gupta BD, Desai NJ, Patel JB, Bhanvadia V. Thromboembolism. Anil Aggrawal's Internet Journal of Forensic Medicine and Toxicology, 2013; Vol. 14, No. 1 (Jan - June 2013): ; Published: Jan 1, 2013, (Accessed: 

Email Dr. B.D.Gupta (the corresponding author) by clicking here
Dr. B.D. Gupta
Dr. B.D. Gupta (Click to enlarge)

Poster Session: Poster 8

Thromboembolism

B. D. Gupta*, M.B.B.S., M.D., Prof & Head, N.J. Desai#, M.B.B.S., M.D. Professor, Jignesh B. Patel*, M.B.B.S., Viral Bhanvadia#, M.B.B.S., M.D. Assistant Professor
* Forensic Medicine Department
# Pathology Department
M.P.Shah Medical College, Jamnagar
India


thromboembolism as dissected in situ
Picture 1: thromboembolism as dissected in situ.
thromboembolism as dissected in situ
Picture 2: thromboembolism as dissected in situ
Fibrinous material and lines of Zahn. Photograph is 44% zoomed using Microsoft Picture Manager
Picture 3: Fibrinous material and lines of Zahn. Photograph is 44% zoomed using Microsoft Picture Manager
High power view. Photograph is 34% zoomed using Microsoft Picture Manager
Picture 4: High power view. Photograph is 34% zoomed using Microsoft Picture Manager
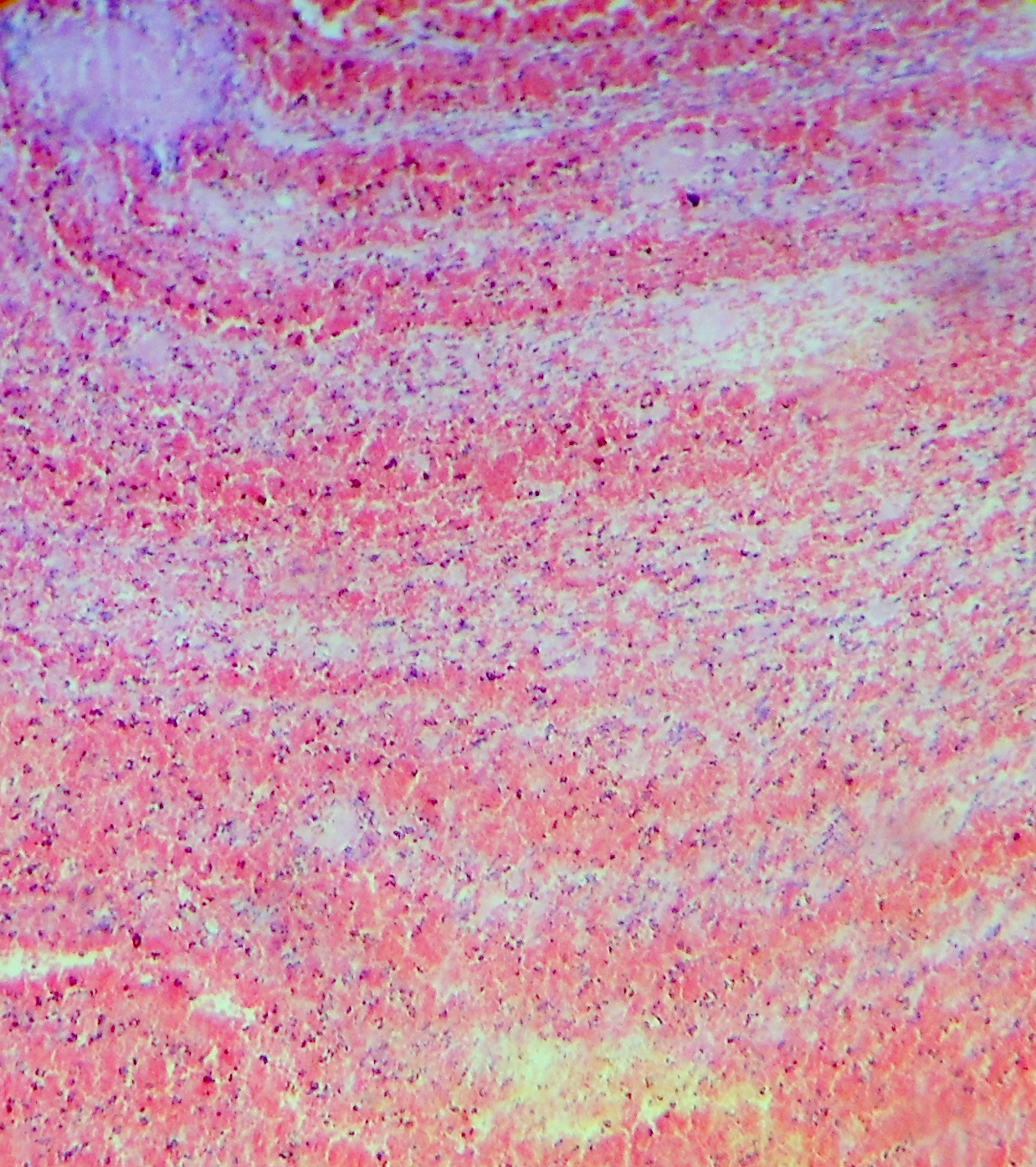
High power view, showing components of thrombus in another field
Picture 5: High power view, showing components of thrombus in another field
Please click all pics to enlarge

Deceased was female of about 65 years of age. She suffered multiple fractures in a vehicular accident including fractures of bones of left leg. Patient was under treatment for about two weeks. She was operated upon twice. But she died after 8 days of second operation. On postmortem examination we found thromboembolism in pulmonary trunk. Gross and microscopy photographs are presented.

(N.B. Click all pictures to enlarge!)

*Corresponding author and requests for reprints:
B.D. Gupta
Professor of Forensic Medicine
M.P.Shah Medical College
Jamnagar 361008
India

Poster 1 ] [ Poster 2 ] [ Poster 3 ]  [ Poster 4 ]

 [ Poster 5 ]  [ Poster 6 ]  [ Poster 7 ]  [ Poster 8 ]


Back to Poster Index ]

You've been on B.D. Gupta's Poster for seconds.


 Click here to contact us.

 This page has been constructed and maintained by Dr. Anil Aggrawal, Professor of Forensic Medicine, at the Maulana Azad Medical College, New Delhi-110002. You may want to give me the feedback to make this pages better. Please be kind enough to write your comments in the guestbook maintained above. These comments would help me make these pages better.

IMPORTANT NOTE: ALL PAPERS APPEARING IN THIS ONLINE JOURNAL ARE COPYRIGHTED BY "ANIL AGGRAWAL'S INTERNET JOURNAL OF FORENSIC MEDICINE AND TOXICOLOGY" AND MAY NOT BE REPOSTED, REPRINTED OR OTHERWISE USED IN ANY MANNER WITHOUT THE WRITTEN PERMISSION OF THE WEBMASTER

Questions or suggestions ? Please email to anil@anilaggrawal.com

  home  > Vol.14, No. 1, Jan - June 2013  > Index of posters  > Poster 8: Thromboembolism (you are here)
Navigation ribbon