|



OTHER REVIEWS IN THIS ISSUE Pages: |1|
2|
3|
4|
5|
6|
7|
8|
9|
10|
11|
12|
13|
14|
15|
16|
17|
18|
19|
20|
21|
22|
23|
[Popular Books Section]
[Animated Reviews]
|

|
|
|
Clinical Environmental Health and Toxic Exposures, 2nd Edition by John B. Sullivan, Jr. and Gary R. Krieger. Hard Bound, 8½" x 11".
Lippincott Williams & Wilkins, (A Wolters Kluwer Company), 530 Walnut Street, Philadelphia, PA 19106-3621, USA. Publication Date June 2001; xvii + 1323 pages , 419 Illustrations, 655 tables: ISBN 0-683-08027-X. Library of Congress Catalogue No. 99-33986. Price: $199.00 (£ 151.00)
![]() |
Toxicology, broadly defined as the study of the adverse effects of chemicals on biological systems has a number of subspecialties. Clinical toxicology deals with the causation, diagnosis and management of poisoning, analytical toxicology with detection of poisons, laboratory toxicology with elucidation of mechanisms of toxicity, forensic toxicology with legal issues pertaining to poisons and so on. Environmental toxicology, a subject of relatively recent origins, deals with the effect of toxic pollutants on biological systems. Typically these pollutants are in low concentrations and emitted from a variety of domestic and industrial sources. Till some time back, environmental toxicology was not taken seriously in many parts of the world, especially the lesser developed areas, their usual refrain being that the subject was becoming a King Charles's head with the developed nations. To this day chemicals like DDT are being used nonchalantly in many parts of the world.
That everything was not hunky-dory was demonstrated quite graphically by the Bhopal Gas Tragedy of December 2-3, 1984, in which 2500 people died due to release of methyl iso-cyanate. To this day, Guinness Book of World Records, lists it as the worst chemical disaster. The issue kept grinning at us like a Cheshire cat, when one and a half years later (on April 25-26, 1986) the worst ever nuclear disaster - at Chernobyl - claimed 31 lives, and is sure to claim many more lives - through carcinogenesis - as time elapses.
![]() |
More than anything else, incidents like these impress upon us that the issue of environmental toxicology has to be addressed with a greater focus. The book under review is devoted almost entirely to environmental toxicology and fulfils this need admirably.
The book is divided in five sections, each dealing with a different aspect of environmental toxicology. Section 1 deals with the general principles of environmental health, section 2 with prevention, regulation, safety and legal issues, section 3 with the effects of poisons on various organ systems, section 4 with environmental health hazards of business and industry and section five with specific health hazards and toxins.
This sections serves well to introduce the reader to the general issues and principles related to environmental health. In the first chapter the authors mention some glaring incidents where mankind has played havoc with the environment. Besides mentioning the two major environmental disasters of the twentieth century - the Bhopal gas tragedy and the Chernobyl disaster - attention is focused on environmental destruction in the erstwhile Soviet Union. The did sign the International Antidumping Treaty in 1976, but continued to dump radioactive wastes into the Arctic waters off the city of Murmansk, 200 miles above the Arctic Circle. Chemicals, sewage and metallic effluents were let loose in their rivers Syr Darya and Amu Darya, both of which have now become almost like large sewer pipes. The Aral Sea, where these rivers drained is also close to dying; it has already reduced to the status of two shallow bodies of polluted water. On March 24, 1989, 11 million gallons of crude oil poured into the pristine environment of Prince William Sound, when Exxon Valdez struck a reef. The Exxon Corporation had to spend as much as $3 billion to clean up the spill, and had to cough out $5 billion in damages to Alaskan natives, commercial fisherman, property owners, and others harmed by the spill. Despite all these heavy expenditures, the environment is far from returning to normal, and has become a veritable laboratory for scientific research in oil pollution.
We are reminded in this section, how a reckless tampering of the environment has even caused the advancement of several diseases. Destruction of rain forests in Brazil has caused malaria to reemerge with greater intensity. Nitrogen and phosphorus effluents in Maryland's Pocomoke River has caused the toxic dinoflagellate Pfiesteria piscicida to flourish, which in turn has caused the death of tens of thousands of fish. A number of other interesting examples are given, which the readers would find very informative and instructive.
![]() |
How does the pollutants move around, once they are in the ecosystem? This topic is tackled in the second chapter. The discipline of chemodynamics deals with the study of pollution movement. This discipline encompasses a lot of other fields of study namely chemistry, physics, hydrology, geology, toxicology and engineering. Evaporation of water from various bodies of water, and its recondensation forms the so-called Hydrologic cycle, while the movements of pollutants through soil constitutes the Geologic cycle. Together the two are known as the hydrogeopollution cycle. The chapter goes on to explain a number of related hydrology terms, soil structure and characteristics, physicochemical properties of soil, biological phase of soil, and so on. There is a big section on pollutant biodegradation, which tells us how the soil microbes degrade pollutants like saturated and unsaturated aliphatic hydrocarbons, aromatic hydrocarbons, cyclic aliphatics, halogenated hydrocarbons and oxygenated organic substances such as ketones, esters, ethers and alcohols. How do we assess the occupational hazards? This forms the basis of the third chapter. We are introduced to interesting concepts such as Haber's rule which states that the damaging effects on the body are proportional to cumulative dose. American Conference of Governmental Industrial Hygienists (ACGIH) has formulated the concept of Threshold Limit Values (TLVs). This concept serves as exposure guidelines for worker protection. The categories of TLVs have been defined: (i)Time Weighted Average (TLV-TWA) (ii)Short-Term Exposure Limit (TLV-STEL) (iii) Ceiling Limit (TLV-C).
The concept of Time Weighted Average takes into account both the concentration and the time for which a worker has been exposed. An eight-hour average is worked out to know the exact dangers the workers face. Thus if a worker is exposed to, say, a varying concentration of mercury during his working hours, the TWA would be calculated in this way. If he is exposed to a concentration of C1 of mercury for a time period of, say, T1, a concentration of C2 for a time period of T2 and so on till he faces a concentration of Cn for a time period of Tn, the TWA would be calculated as follows:
TWA= (C1T1+C2T2+...... +CnTn)/8
Division by eight signifies that we are basically working out the average concentration during an eight hour interval. T1+T2+T3......+Tn all add up to eight hours and by dividing by eight, we work out the average concentration for a typical one hour period.
STEL takes into account the exposure for just 15 minutes, and is recommended for fast acting substances. Ceiling limit (TLV-C) defines the concentration of a pollutant that should not exceed during any part of the working exposure, even if the TWA is within the normal limits.
![]() |
Many devices are discussed which can help us measure the concentration of pollutants. All of these work on different principles. Explosimeters tend to detect the combustibility or explosivity of a pollutant. In this device the gaseous contaminant (say phosphine or carbon monoxide - pollutant gases which are combustible) is made to burn on a heated wire. The heat of combustion alters the resistance of a wire. By measuring this change in resistance, one can know the concentration of the pollutant gas.
![]() |
While this method is good for single gases, when mixtures of gases are being analysed, the results are obviously non-specific. Then there are organic vapor monitors. These are the monitors with a photoionization detector (PID). An ultraviolet lamp within these devices ionizes the pollutant gas, and the resulting degree of ionization produces an electric signal that can be read directly on a meter. There are other gas-detecting instruments working on different principles. Flame Ionization Detection (FID) detects a volatile hydrocarbon. In this case the hydrocarbon is drawn into the ionization chamber, and a hydrogen flame ignites the compound. An electric signal is produced depending on the degree of ionization, which forms the basis of measurement.
Chapters 4,5 and 6 deal with the principles of toxicology, epidemiology and risk assessment respectively. They are quite useful chapters. I particularly found the chapter on the principles of epidemiology quite useful and interesting, as it was quite new to me. We are told that the foundations of epidemiology lie in Dr. John Snow's experiments on cholera deaths in England during 1848-1849 and 1853-1854, when much before the discovery of the cholera bacillus, he could come to the right conclusion that it was the infected water which was causing these deaths. After this historical outline, starting with the basic vocabulary of epidemiology, the author takes us on to more complicated concepts of epidemiology. All the concepts are quite well-explained.
This section deals mainly with the laws, rules and regulations, as they pertain to environmental matters. US law is mainly dealt with, and as many as eight relevant Acts are detailed. These are the (i) Clean Air Act (CAA), 1963 (ii) Clean Water Act (CWA), 1972 (iii) Safe Drinking Water Act (SDWA), 1974 (iv) Federal Insecticide, Fungicide and Rodenticide Act (FIFRA), 1947 (v) Resource Conservation and Recovery Act (RCRA), 1976 (vi) Comprehensive Environmental Response Compensation, and Liability Act (CERCLA), 1980 (vii) Toxic Substances Control Act (TSCA), 1976 and lastly (viii) Emergency Planning and Community Right-to-Know Act (EPCRA: 40 CFR 350-374), 1986. I will not take up each Act in detail in this review here. Suffice it to say, that the Acts are very well dealt with and all relevant provisions explained in great detail.
An important chapter in this section, is chapter 9, entitled "Hazard Communication and Material Safety Data Sheets". One of the regulations of the Occupational Safety and Health Administration (OSHA) is to ensure that the hazards of all chemicals produced or imported are evaluated and transmitted to employers and employees in a uniform manner. OSHA published its original Hazard Communication Standard on November 23, 1983. Initially this meant only for the chemical manufacturers and directed them to assess the hazards of chemicals they manufacture or import and to provide this information to those companies in the manufacturing sector that used the product. On August 24, 1987, OSHA expanded this regulation to include several non-manufacturing employers, including agriculture, forestry, fishing, mining, construction, wholesale and retail trade, finance, insurance, real estate and even service groups. Construction industry however went into litigation over this regulation, but from February 15, 1989, even this industry fell within its purview.
The way to provide information regarding hazards of a chemical was through Material Safety Data Sheets or MSDS. A sample of an MSDS is given on page 119.
![]() |
One alternative hazard warning system commonly used in industry to label containers is the Hazardous Material Identification System (HMIS) devised by the National Paint and Coatings Association, and still another example is the National Fire Protection Association (NFPA) 704 System. This latter system uses a diamond shaped figure divided into four sections. Each section has a numeric rating of 0 through 4 to depict the chemical's health hazard (blue diamond; Ratings are like this: 0-like ordinary material; 1-slightly hazardous; 2-Hazardous-use breathing apparatus; 3-Extremely dangerous - Use full protective clothing; 4-Too dangerous to enter vapor or liquid), flammable hazard (red diamond; Ratings are like this: 0-will not burn; 1-must be preheated to burn; 2-ignites when moderately heated; 3-ignites at normal temperature; 4-Extremely flammable), and stability hazard (yellow diamond; Ratings are like this: 0-normally stable; 1-unstable if heated - use normal precautions; 2- violent chemical change possible - use hose streams from distance; 3- strong shock or heat may detonate - use monitors from behind explosion resistant barriers; 4-may detonate - vacate area if materials are exposed to fire). The fourth diamond is for special hazards. The example shown in the diagram thus translates like this:
"This is a material which has a health hazard of 2, meaning it is a chemical hazardous to health and the use of breathing apparatus is recommended. Flammability hazard of this material is 4, meaning that it is extremely flammable. Stability hazard is 3 meaning that strong shock or heat may detonate this substance. The fourth diamond showing a crossed W shows that the material is incompatible with water, and the use of water should be avoided."
![]() |
Quite a useful method really! Yet another method is the use of pictorial depictions. These pictorial depictions are today used as labels in countries like Germany, Switzerland and other European Countries. Similar pictograms can be used in various work areas to remind workers of the potential dangers pertaining to that work area. They can also be used profitably depicting various protective devices. They would remind the workers as to what protective device they should wear. These pictograms have the benefit of easy comprehensibility and are user friendly.
![]() |
Chapter 11 entitled "Personal Protection and Hazardous Materials" is very informative, and informs us about the various protective devices. There are devices for respiratory protection, such as tight-fitting face piece, a snorkel-like mouthpiece, or a loose-fitting cover such as a hood, suit, hard hat assembly, or blouse. Then there are Chemical Protective Clothing (CPC). It is a broad class of garments worn to protect the wearer against contaminant related injury, or as a means of controlling the spread of the contaminant.
This section deals with the toxicity of chemicals as they affect each organ system. The systems dealt with in this section are skin (chapter 15: Clinical Dermatotoxicology), lungs (chapters 16 and 17), liver (chapter 18: Clinical Hepatotoxicology), nervous system (chapter 19: Clinical Neurotoxicology and Neurobehavioral toxicology), heart (chapter 20: Clinical cardiac toxicology), eyes (chapter 21: Clinical Ocular Toxicology), kidneys (chapter 22: Clinical renal toxicology), reproductive system (chapter 23: Teratogenesis and Reproductive Toxicology), nucleic acids (chapter 24: Carcinogenesis, Mutagenesis and genotoxicity), immune system (chapter 25: Clinical Immunotoxicology and Allergy), joints (chapter 26: Clinical Rheumatologic diseases), endocrine system (chapter 27: Endocrine-Disrupting chemicals), blood and hemopoietic system (chapter 28: Clinical Hematotoxicology), olfactory system (chapter 29: Olfactory and nasal toxicology) and mind (chapters 30 and 31). A final chapter in this section - chapter 32 - is on low-level chemical sensitivity and chemical intolerance.
![]() |
![]() |
Each chapter is well-researched and is written by an expert in that particular field or area. Wherever necessary, pictures supplement the descriptions. The hazards of hot tar are discussed in the chapter on clinical dermatotoxicology and appropriate photographs supplement the information. Asphalt tar, used in surfacing, is usually heated to approximately 450°F to maintain the liquid form for application. Tar burns are very troublesome because tar sticks to the skin and can not be removed without causing further injury. However emulsifiers like polyoxyethylene sorbitan have excellent lipophilic and hydrophilic properties, making it an excellent emulsifier of tar that can be washed with water. There are some very nice pictures in the chapter, some showing the burn injuries with tar on the skin, and some with tar washed off with polyoxyethylene sorbitan.
Each chapter has a number of useful tables. One of the most useful table to be found in each chapter is on the agents which cause injury to that particular organ system. Thus the reader can know at one glace the various drugs/chemicals which are dangerous to that particular system. Sample the following table which appears on page 218, detailing the agents that produce acute respiratory tract injury.
| Irritant gases, high solubility | Acetaldehyde (CH3CHO) |
| Acrolein (Acrylic aldehyde) (CH2:CHCHO) | |
| Ammonia (NH3) | |
| Hydrogen Chloride (HCl) | |
| Sulfur Dioxide (SO2) | |
| Irritant gases, intermediate to low solubility | Chlorine (Cl2) |
| Nitrogen Oxides (Nox) | |
| Ozone (O3) | |
| Phosgene (Carbonyl Chloride)(COCl2) | |
| Asphyxiants | Carbon Monoxide (CO) |
| Hydrogen Cyanide (HCN) | |
| Hydrogen Sulfide (H2S) | |
| Systemic Toxicants | Metal Oxides (Metal Fume Fever) |
| Tetrafluorethylene resin pyrolysis products (polymer fume fever) | |
| Table 1: Examples of agents that produce acute respiratory tract injury | |
|---|---|
![]() |
![]() |
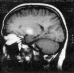
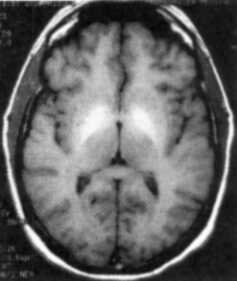
I would like to mention some chapters which I found of special interest. In the chapter on clinical neurotoxicology, we are told that several toxins can actually be diagnosed by CT and MRI. There is even a table which tells us of the various toxins which can be detected by these methods. There are pictures showing MRI scans of brain showing deposition of manganese in the basal ganglia area. These areas are seen as bright oval areas. Other poisons which can thus be detected (i.e. either by CT or MRI or both) are methanol (putamen and globus pallidus lesions), toluene (loss of differentiation of gray and white matter, cerebral and cerebellar atrophy and a host of other changes), Hydrogen Peroxide (Ischemic changes and cerebral infarction), organic solvents (cerebral atrophy) and Carbon Monoxide (basal ganglia lesions, particularly globus pallidus and white matter lesions).
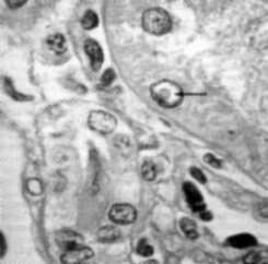
Some very dramatic pictures appear in the chapter on clinical ocular toxicology. A host of environmental agents can affect the eyes, some of them being radiation, acute solar exposure, ultraviolet light, laser light, microwaves, infrared rays and electric shock. Several chemicals such as copper, iron, silver, gold, mercury and lead can cause toxicity and a detailed discussion is given of each of these chemicals. The characteristic reaction of the eye to copper and its alloys (brass, bronze etc) is a purulent exudation and collection of inflammatory cells around the foreign body (see the picture below and to the left). Systemic increases in serum copper may lead to deposition of copper into the lens capsule. The resulting lens opacity may have a characteristic "sunflower" configuration, with an anterior central disk occupying the pupillary area and radiating petals on the posterior surface of the iris. Silver and Gold may similarly be deposited in the eye in cases of excessive intake. Silver may be deposited in the cornea, when a worker is engaged in industrial silver polishing or engraving, or ingestions of solutions containing silver. Clinically this may cause gray-brown discoloration of the conjunctiva and Descemet's membrane. Gold can accumulate in the cornea and conjunctiva after prolonged systemic ingestion (as in medications for rheumatoid arthritis), but it disappears within 3-5 months after ingestion is discontinued.
![]() |
The chapter on Clinical Renal Toxicology lists a number of compounds that can prove toxic to kidneys. One of the most widely known is lead. Acute tubular necrosis is well-known in cases of high ingestion of lead - either accidentally or otherwise. Presently there are no surefire tests to diagnose early exposure to lead, except the measurement of Glomerular Filtration Rate (GFR). There is no proteinuria or albuminuria in the early phases. But if you do the histopathology, you can see the protein-lead complexes in the cells of the proximal tubules.
![]() |
A number of natural - all of them quite exotic - nephrotoxins are described. Citrinin and Ochratoxin A are the products of Aspergillus that are found in a variety of cereal grains. These are nephrotoxic. Fumonisins produced by the Fusarium species, commonly found on corn and corn products have been known to produced nephrotoxicity in rats. Mushrooms such as Cortinarius orellanus, Cortinarius preciosissimus and Amanita phalloides cause hepatorenal failure. Aristolochic acid, a nephrotoxic and genotoxic substance produced by Aristolochia has been known to cause a rapidly progressive renal disease leading to renal failure. This is actually a Chinese herb which has been used in Belgium as part of a slimming regimen. Finally, there is a disease known as the Balkan endemic nephropathy, in which several natural nephrotoxins such as ochratoxin A, aristolochic acid and silica have been involved. This disease is quite endemic to the Balkan area.
This is a very large section comprising more than 20% of the whole book. This section looks at the problem from a different angle - from the various locations. What are the specific health hazards of a specific business, industry, site or location. It is amazing to see the vast variety of businesses which have been covered. Thus we get to read about the hazards of Semiconductor manufacturing (chapter 33), plastic manufacturing (chapter 34), tire and rubber manufacturing (chapter 35), Automobile bag hazards (chapter 36), Aerospace industry exposure hazards (chapter 37), hazards of biotechnology (chapter 38), dental health care hazards (chapter 39), toxic hazards of mining and smelting (chapter 40), pneumoconioses (chapter 41), Infectious diseases (chapter 42), diseases of international travel and remote sites (chapter 43), pulp and paper industry hazards (chapter 44), shipbuilding industry hazards (chapter 46), construction industry hazards (chapter 48), toxic hazards of firefighters and combustion technology (chapter 50) and agricultural hazards (chapter 52). This is a useful section in the sense that clinical toxicologists could be well aware of what diseases to expect, if they face a patient from a particular industry.
Every chapter is in real great detail and well-explained. Being a computer buff myself, I first wanted to know the hazards associated with the manufacture of semiconductors, and I was amazed at the amount of new information I got almost in every line. Sample this: semiconductor wafers have to be manufactured in dust free rooms, otherwise dust particles would deposit on them, rendering them useless. For this special rooms have to be designed and special gadgets set up to remove particles from there. Interestingly rooms are actually classified according to the number of dust particles they have. Federal Standard 209-D defines environmental classes of such rooms. The parameter which is most frequently used is based on the number of particles of diameter 0.5µm or greater per cubic foot of air (or 0.028 m3). According to this criteria, a class 10,000 clean room is defined as having no more than 10,000 particles of this size per cubic foot of air. They might appear too many to you, but a normal "clean" room has about fifty times as many particles - almost 500,000 particles per cubic foot!
One might imagine that such scrupulous cleanliness should actually be good for health. I certainly thought that, till I read that lot of complicated engineering goes into producing such clean rooms, and it is the result of that "engineering" that actually exposes workers at risk. It is quite interesting to go through the various techniques engineers use to produce particle free environments. The techniques are quite complex and it would not be possible to go through them in this short review. Suffice it to say that Vertical Laminar Flow (VLF) of air is quite effective in removing particles. As a result of this, semiconductor clean rooms are not normal rooms - they are hot, dry and windy. The temperature has to be controlled between 68° and 75°F. Humidity has to be maintained constant from 15% to 50% to protect wafers from condensation of water droplets. This hot dry air moves at a rate of 80 to 100 feet per minute. These kinds of environments can dehydrate the stratum corneum of the skin and the mucus membranes. If these problems appear minor to you, what may interest you is that asthmatics have found that clean room air actually worsens their symptoms! This occurs perhaps as a result of drying of the airways. Eye problems, psychological problems, loneliness, phobias etc are very common in these kinds of environments, and the authors describe them very well. Most of the chapters in this section are real eye-openers.
This is the final and the largest section of the book, comprising almost 45% of the whole book. Every conceivable drug, poison or toxin is taken up here. Have a sampling from the following table.
| Chapter | Toxin | Chapter | Toxin |
|---|---|---|---|
| 54 | Hydrogen cyanide | 86 | Intermetallic semiconductors: Arsine, Phosphine, and inorganic hydrides |
| 55 | Hydrogen Sulfide | 87 | Oxidisers, reducing agents, and other highly reactive chemicals |
| 56 | Carbon monoxide | 88 | Metal oxides |
| 57 | Methemoglobin forming compounds | 89 | Organometals |
| 58 | Halogenated solvents, Trichloroethylene, and Methylene Chloride | 90 | Alkali metals: Sodium, potassium and Lithium |
| 59 | Benzene and other hematotoxins | 91 | Reactive metals |
| 60 | Polychlorinated biphenyls and other polyhalogenated aromatic hydrocarbons | 92 | Acrylamides |
| 61 | Polychlorodibenzodioxins and Polychlorodibenzofurans | 93 | Isocyanates |
| 62 | Inorganic acids and bases | 94 | Acrylates, methacrylates and cyanoacrylates |
| 63 | Organic acids and bases | 95 | Formaldehyde |
| 64 | Hydrofluoric acid | 96 | Aldehydes |
| 65 | Ozone | 97 | Biological hazards, biotoxins, and toxigenic fungi |
| 66 | Oxides of nitrogen and sulfur | 98 | Organophosphate and carbamate insecticides |
| 67 | Gasoline and oxygenated additives | 99 | Organochlorine pesticides |
| 68 | Crude oil | 100 | Fumigants |
| 69 | Middle distillates and residual fuels | 101 | Herbicides |
| 70 | Petroleum lubricants, asphalt and coke | 102 | Fungicides and Biocides |
| 71 | Arsenic | 103 | Pyrethrins |
| 72 | Mercury | 104 | Ethylene oxide and propylene oxide |
| 73 | Lead | 105 | Aromatic solvents |
| 74 | Cadmium | 106 | Solvents and chemical intermediates |
| 75 | Copper | 107 | Solvents and chemical intermediates: Alcohols, ketones, esters, and ethers |
| 76 | Zinc | 108 | Glycol ethers |
| 77 | Nickel | 109 | Carbon disulfide |
| 78 | Platinum and related metals: Palladium, Iridium, Osmium, Rhodium and Ruthenium | 110 | n-Hexane and 2-Hexanone |
| 79 | Beryllium | 111 | Asbestos |
| 80 | Chromium | 112 | Man-Made mineral fibres |
| 81 | Manganese | 113 | Polycyclic aromatic hydrocarbons |
| 82 | Vanadium, Titanium and Molybdenum | 114 | Creosote, coal tar, and coal tar pitch |
| 83 | Selenium | 115 | Phenols and phenol derivatives |
| 84 | Aluminum | 116 | Uranium, plutonium, and transuranium radionuclide hazards |
| 85 | Thallium | 117 | Latex |
The list is quite amazing as we can all see. You name a toxic chemical and it is mentioned here. And each toxin is very well dealt with. Since I was quite familiar with the common poisons such as arsenic, mercury or lead, I was very curious to explore some of the more exotic poisons. So I turned to chapters dealing with chemicals such as Uranium, plutonium, transuranium radionuclides, Vanadium, Titanium and Molybdenum etc. And I was rewarded with interesting information in each of these chapters. Just sample the information I unearthed in chapter 78 dealing with Platinum, Palladium, Iridium, Osmium, Rhodium and Ruthenium. All these compounds are known as platinoids, and they are used as anticorrosives. Platinoids and their alloys appear in several industries, namely chemical, petroleum, electrical, nuclear power, automotive industry and in making jewelry. In addition platinum complexes (e.g., cisplatin and carboplatin) are used for cancer chemotherapy - in the treatment of testicular, ovarian, bladder, prostate and several other cancers which are unresponsive to standard chemotherapy. Clearly, toxicity of these compounds can be seen in these situations.
![]() |
Platinum oxides and platinum salts can act as irritants or sensitizers. Aerosols of ammonium tetrachloroplatinite (II) and ammonium hexachloroplatinate (IV) are the main occupational sensitizing agents. After sensitization has occurred, further exposure to these salts can cause asthma, conjunctivitis, urticaria, dermatitis, and eczema.
A host of other adverse reactions and toxicities are dealt with in this chapter. The authors then go on to describe the special diagnostic tests, management, biological monitoring, occupational monitoring and occupational exposure limits. In fact in most of the toxins -usual or unusual- this format is maintained. A number of useful tables are given in each chapter, which throw further light on the subject.
A very useful appendix appears in the end, in which the editors give us lots of useful addresses and internet sites. You can find phone numbers, office address and work timings of most of these agencies. For instance, the address and other information which appears under the heading "Pesticides" is like this:
Really quite useful. A host of other similar addresses and telephone numbers appear in this appendix which spans as many as 9 pages. A number of useful internet sites are given. Some interesting ones are:
Toxicology and environmental Health
Occupational Safety and Health Administration (OSHA)
http://www.osha.gov/
Arizona poison information center
http://www.pharmacy.arizona.edu
Karolinska Institute Library: Poisoning
http://www.mic.ki.se/Diseases/c21.613.html
All in all a really indispensable book on environmental health and toxicology. This book should find a place in the personal libraries of all toxicologists, pharmacologists, clinicians, industrial hygienists, legal personnel, family physicians, forensic toxicologists and forensic pathologists. This book is certainly going to be one of my most valuable possessions!
Order this Book by clicking here.
Interested in toxicology, forensic toxicology, and related areas? Well try these books recommended by the Editor-in-chief.
Request a PDF file of this review by clicking here. (If your screen resolution can not be increased, or if printing this page is giving you problems like overlapping of graphics and/or tables etc, you can take a proper printout from a pdf file. You will need an Acrobat Reader though.)
N.B. It is essential to read this journal - and especially this review as it contains several tables and high resolution graphics - under a screen resolution of 1600 x 1200 dpi or more. If the resolution is less than this, you may see broken or overlapping tables/graphics, graphics overlying text or other anomalies. It is strongly advised to switch over to this resolution to read this journal - and especially this review. These pages are viewed best in Netscape Navigator 4.7 and above.
-Anil Aggrawal

[ Major links ]
[ Paper/Thesis submission guidelines ] [ Editorials - Cumulative Index ] [ Be our sponsor! ]
[ Cumulative index of Book Reviews sorted by | Publishers | General Interest Books | Technical Books ] [ Animated Reviews ] [ Featured Reviews ]
[ Links ] [ Submit books/journals/software/multimedia for review ] [ journal CD ] [ History of the Journal ] [ Interviews ] [ Credits ]
[ Online Courses ] [ Awards ] [ Anil Aggrawal's Internet Journal of Book Reviews - Sister Publication ]
[ Cumulative reviews of Software/Multimedia | Books on CD/Audio tapes ] [ contact us ]
Books for review must be submitted at the following address.
Professor Anil Aggrawal (Editor-in-Chief)
Anil Aggrawal's Internet Journal of Forensic Medicine and Toxicology
S-299 Greater Kailash-1
New Delhi-110048
India

Click here to contact us.
This page has been constructed and maintained by Dr. Anil Aggrawal, Professor of Forensic Medicine, at the Maulana Azad Medical College, New Delhi-110002. You may want to give me the feedback to make this pages better. Please be kind enough to write your comments in the guestbook maintained above. These comments would help me make these pages better.
IMPORTANT NOTE: ALL PAPERS APPEARING IN THIS ONLINE JOURNAL ARE COPYRIGHTED BY "ANIL AGGRAWAL'S INTERNET JOURNAL OF FORENSIC MEDICINE AND TOXICOLOGY" AND MAY NOT BE REPOSTED, REPRINTED OR OTHERWISE USED IN ANY MANNER WITHOUT THE WRITTEN PERMISSION OF THE WEBMASTER


|